Kyste hydatique rénal fistulisé dans les voies urinaires chez un hémodialysé chronique

Nadia Kabbali, Tarik Sqalli

PAMJ. 2017; 28:219. Published 09 Nov 2017 | doi:10.11604/pamj.2017.28.219.13790

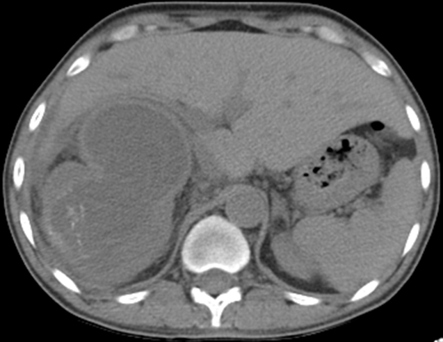
L'hydatidose est une parasitose liée au développement de la forme larvaire d'Echinococcus granulosus. Le kyste hydatique rénal constitue une localisation inhabituelle. Il peut se fistuliser dans les voies excrétrices urinaires et nécessiter alors une prise en charge spécifique. Nous présentons ici un cas témoignant de la spécificité diagnostique et thérapeutique de cette pathologie chez les patients en hémodialyse chronique, chez qui la diurèse n’est pas toujours conservée pour témoigner de l’hydaturie et orienter le diagnostic. Il s’agit donc d’un patient de 47 ans, en hémodialyse depuis 4 ans pour une néphropathie glomérulaire découverte au stade terminal. Le patient présente depuis 6 mois une altération de l’état général avec des lombagies droites, sans fièvre. La TDM abdominale montre un rein droit mesurant 13,4cm, siège d’une importante dilatation urétéro-pyélo-calicielle laminant le parenchyme rénal, avec un pyélon mesuré à 4,3cm, sans obstacle lithiasique visible. Cependant on individualise au niveau polaire inférieur droit, une formation kystique contenant des membranes, mesurant approximativement 76,5 x 54mm, communiquant avec le pyélon qui contient également quelques membranes. Un interrogatoire plus laborieux a révélé la présence d’une hydaturie sur les quelques gouttes de diurèse résiduelle. Vu que le patient est en insuffisance rénale chronique terminale en traitement de suppléance, le choix thérapeutique s’est porté sur une néphrectomie totale.
Corresponding author
Nadia Kabbali, Service de Néphrologie, CHU Hassan II, Maroc (kabbalinadia@gmail.com)


The Pan African Medical Journal (ISSN: 1937-8688) is a subsidiary of the Pan African Medical Journal. The contents of this journal is intended exclusively for professionals in the medical, paramedical and public health and other health sectors.

Currently tracked by: DOAJ, AIM, Google Scholar, AJOL, EBSCO, Scopus, Embase, IC, HINARI, Global Health, PubMed Central, PubMed/Medline, ESCI

Physical address: "Kenya: 3rd Floor, Park Suite Building, Parkland Road, Nairobi. PoBox 38583-00100, tel: +254 (0)20-520-4356 | Cameroon: Immeuble TechnoPark Essos, Yaounde, PoBox: 10020 Yaounde, tel: +237 (0)24-309-5880"