Riedel’s lobe of the liver

Ahmed Bensaad, Roberto Algaba

PAMJ. 2017; 28:211. Published 07 Nov 2017 | doi:10.11604/pamj.2017.28.211.13586

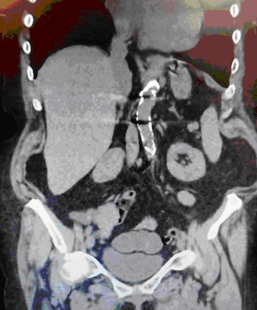
We report the case of an 80-year-old woman, presented to our department for an Intestinal obstruction due to postoperative adhesions from an anterior exploratory laparotomy. Preoperative imaging showed a downward elongation of the liver, ending at the level of the iliac crest. Originally reported in 1888 by a German Surgeon named Carl Ludwig Riedel in seven female patients who had palpable masses, they were all confirmed by surgical exploration. The potential complications are rare and include torsion, mass effect morbidity and laparoscopic associated difficulty during different surgical procedures. Unnecessary imaging can be avoided with the knowledge of this normal variant of the right lobe of the liver.
Corresponding author
Ahmed Bensaad, CHU Ibn Rochd Casablanca, Morocco (bensaad12@hotmail.com)


The Pan African Medical Journal (ISSN: 1937-8688) is a subsidiary of the Pan African Medical Journal. The contents of this journal is intended exclusively for professionals in the medical, paramedical and public health and other health sectors.

Currently tracked by: DOAJ, AIM, Google Scholar, AJOL, EBSCO, Scopus, Embase, IC, HINARI, Global Health, PubMed Central, PubMed/Medline, ESCI

Physical address: "Kenya: 3rd Floor, Park Suite Building, Parkland Road, Nairobi. PoBox 38583-00100, tel: +254 (0)20-520-4356 | Cameroon: Immeuble TechnoPark Essos, Yaounde, PoBox: 10020 Yaounde, tel: +237 (0)24-309-5880"