Kyste arachnoïdien du sinus sphénoïdal: diagnostic différentiel dÂ’une mucocèle

Souha Kallel, Abdel Mounem Ghorbel

PAMJ. 2017; 28:235. Published 15 Nov 2017 | doi:10.11604/pamj.2017.28.235.13958

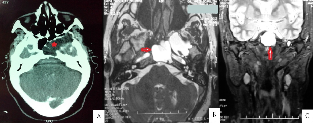
Il s'agissait d'une patiente âgée de 45 ans, sans antécédents de traumatisme crânien, qui a consulté pour des céphalées intermittentes isolées évoluant depuis le jeune âge. L'examen clinique était strictement normal. Le scanner cérébral a montré une lésion hypodense expansive ostéolytique du sinus sphénoïdal s'étendant vers la fosse infra-temporale en bas et la fosse temporale en haut (A). Cette masse ne prenait pas le produit de contraste. Une mucocèle a été suspectée et un complément par IRM a été réalisé. Cette dernière a montré que la masse avait le même signale que le LCR et en continuité avec la méninge temporale sans modification du parenchyme cérébral (B, C). Le diagnostic d'un kyste arachnoïdien a été retenu. Devant l'extension du kyste et l'absence de paralysie nerveuse, la décision était l'abstention thérapeutique et la surveillance clinique et radiologique. En conclision, les lésions kystiques étendues du sphénoïde sont relativement rares et peuvent provoquer des symptômes non spécifiques. Bien que ce soit une lésion très rare, le kyste arachnoïdien doit être présent à l'esprit. Le plus souvent, son diagnostic peut être déterminé à partir des données de la TDM couplée à l'IRM avec séquence de Diffusion, qui permettent le diagnostic différentiel avec les autres lésions, notamment avec une mucocèle.
Corresponding author
Kallel Souha, Service ORL et Chirurgie Cervico-faciale, CHU Habib Bourguiba, 3029 Sfax, Tunisie (souha.kallel@yahoo.fr)


The Pan African Medical Journal (ISSN: 1937-8688) is a subsidiary of the Pan African Medical Journal. The contents of this journal is intended exclusively for professionals in the medical, paramedical and public health and other health sectors.

Currently tracked by: DOAJ, AIM, Google Scholar, AJOL, EBSCO, Scopus, Embase, IC, HINARI, Global Health, PubMed Central, PubMed/Medline, ESCI

Physical address: "Kenya: 3rd Floor, Park Suite Building, Parkland Road, Nairobi. PoBox 38583-00100, tel: +254 (0)20-520-4356 | Cameroon: Immeuble TechnoPark Essos, Yaounde, PoBox: 10020 Yaounde, tel: +237 (0)24-309-5880"