Lésion exceptionnelle : genou flottant bilatéral

Younes Ouchrif, Issam Elouakili

PAMJ. 2014; 19:28. Published 12 Sep 2014 | doi:10.11604/pamj.2014.19.28.4974

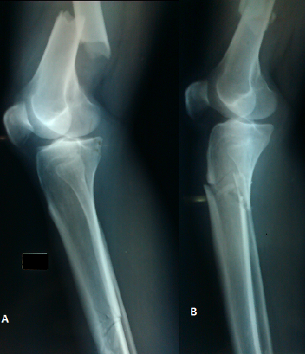
Le genou flottant est une entité lésionnelle décrite pour la première fois en 1975 par Blake et McBride. L'atteinte bilatérale est exceptionnelle. Elle survient pour des traumatismes à haute énergie et est généralement accompagnée d'autres lésions potentiellement vitales. Notre patient a présenté à la suite d'une chute d'une hauteur élevée un traumatisme des deux membres inférieurs. Le diagnostic évoqué cliniquement a été confirmé après bilan radiologique standard. La classification de Fraser permet de distinguer 4 types de genou flottant en fonction du siège des fractures. Le traitement est chirurgical, plusieurs moyens d'ostéosynthèses sont possibles. Chez notre patient nous avant optés vu le siège des fractures pour un enclouage des fémurs (rétrograde) et des tibias. Les complications sont très fréquentes, d'abord d'ordre générales qui peuvent causer le décès du patient (embolies graisseuse, embolies pulmonaires, lésions associées) et locales (infection, cal vicieux, pseudarthroses, raideurs des genoux).
Corresponding author
Issam Elouakili, Service de Chirurgie Orthopédique, CHU de Rabat, Maroc (issam.elouakili@gmail.com)


The Pan African Medical Journal (ISSN: 1937-8688) is a subsidiary of the Pan African Medical Journal. The contents of this journal is intended exclusively for professionals in the medical, paramedical and public health and other health sectors.

Currently tracked by: DOAJ, AIM, Google Scholar, AJOL, EBSCO, Scopus, Embase, IC, HINARI, Global Health, PubMed Central, PubMed/Medline, ESCI

Physical address: "Kenya: 3rd Floor, Park Suite Building, Parkland Road, Nairobi. PoBox 38583-00100, tel: +254 (0)20-520-4356 | Cameroon: Immeuble TechnoPark Essos, Yaounde, PoBox: 10020 Yaounde, tel: +237 (0)24-309-5880"