Embolie pulmonaire massive hydatique

Hicham Janah, Hicham Souhi

PAMJ. 2014; 19:20. Published 09 Sep 2014 | doi:10.11604/pamj.2014.19.20.5243

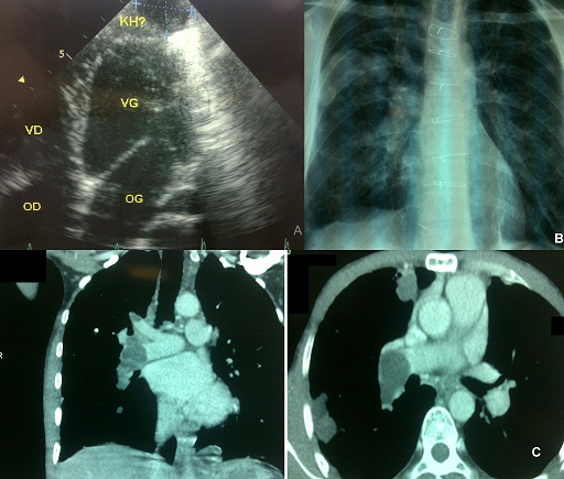
Nous rapportons le cas d'un patient âgé de 39 ans d'origine rurale ayant des antécédents du kyste hydatique du foie en 1995 et d'une hydatidose pulmonaire et péricardique en 2005 traité chirurgicalement et par les antiparasitaires (A). Accusant depuis 15 jours des hémoptysies de moyenne abondance et une dyspnée d'effort. L'examen clinique trouve des râles crépitant et des cicatrices de la sternotomie et de la laparotomie. La radiographie thoracique montre une opacité hilaire droite ronde, de multiples opacités polycycliques axillaires droites et des opacités réticulaires diffuses (B). La tomodensitométrie retrouve une embolie massive par un matériel hypodense kystique intéressant la partie terminale du tronc de l'artère pulmonaire droite s'étendant sur ses branches du lobe inférieur et sur ses branches du lobe supérieur, de multiples kystes hydatiques du lobe moyen et du lobe inférieur droit et un aspect de fibrose pulmonaire bilatérale (C). L'échographie cardiaque et abdominale ne montre pas de récidive. Le bilan fonctionnel montre des troubles ventilatoires restrictifs avec une hypoxie modérée. Le patient est mis sous traitement médical antiparasitaire à base d'Albendazole 800 mg/j pendant 6 mois avec amélioration clinique et radiologique. L'embolie pulmonaire hydatique est une complication rare et grave de la maladie hydatique. Elle succède souvent à la localisation hydatique des cavités cardiaques droites ou de la VCI. Le diagnostic est facile à l'imagerie et le pronostic est très réservé.
Corresponding author
Hicham Janah, Service de Pneumologie, HĂ´pital Militaire dÂ’Instruction Mohammed V, Rabat, Maroc (janah14@live.fr)


The Pan African Medical Journal (ISSN: 1937-8688) is a subsidiary of the Pan African Medical Journal. The contents of this journal is intended exclusively for professionals in the medical, paramedical and public health and other health sectors.

Currently tracked by: DOAJ, AIM, Google Scholar, AJOL, EBSCO, Scopus, Embase, IC, HINARI, Global Health, PubMed Central, PubMed/Medline, ESCI

Physical address: "Kenya: 3rd Floor, Park Suite Building, Parkland Road, Nairobi. PoBox 38583-00100, tel: +254 (0)20-520-4356 | Cameroon: Immeuble TechnoPark Essos, Yaounde, PoBox: 10020 Yaounde, tel: +237 (0)24-309-5880"