Eosinophilic granuloma of the cervical spine manifesting as torticollis in a child

Ali Akhaddar, Mohamed Boucetta

PAMJ. 2014; 19:36. Published 16 Sep 2014 | doi:10.11604/pamj.2014.19.36.3970

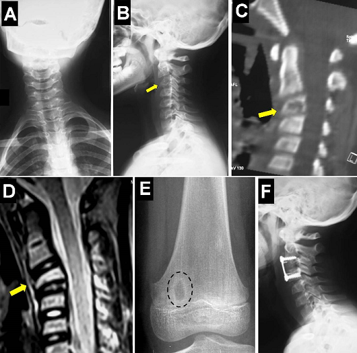
A 10-year-old boy presented with torticollis and neck pain for 2 months without fever. His physical examination showed torticollis and limitation of flexion/extension and cervical rotation without neurological deficit. Family and past histories were unremarkable. Cervical spine radiographs showed a cervical scoliosis with loss of the normal cervical lordosis and partial collapse of C3 vertebral body (A and B). Cervical computed tomography-scan and magnetic resonance imaging demonstrated a destruction of C3 vertebral corpus (vertebra plana) without discitis or spinal cord compression (C and D). A malignant bony tumor was suspected. Routine blood tests showed a mildly elevated erythrocyte sedimentation rate. Other skeletal X-rays revealed a well-defined solitary metaphyseal lytic lesion in the medial femoral condyle (E). An anterior cervical corporectomy was performed and the spine was stabilised with a tricortical iliac crest graft with plate/screws fixation (F). Histological features were consistent with eosinophilic granuloma. The patient was discharged home pain free with a good outcome. Eosinophilic granuloma (EG) is a benign and solitary bony lesion of unknown etiology. EG, Letterer-Siwe, and Hand-Schuller-Christian disease represent a spectrum of the same disease entity now known as Langerhans cell granulomatosis or histiocytosis X. EG predominantly affects the skull, the ribs, the pelvis, the mandible, and the metaphyses of other long bones. Although rare, EG should always be included in the differential diagnosis for osteolytic lesions of the spine in children.
Corresponding author
Ali Akhaddar, Department of Neurosurgery, Avicenne Military Hospital, Marrakech, Morocco (akhaddar@hotmail.fr)


The Pan African Medical Journal (ISSN: 1937-8688) is a subsidiary of the Pan African Medical Journal. The contents of this journal is intended exclusively for professionals in the medical, paramedical and public health and other health sectors.

Currently tracked by: DOAJ, AIM, Google Scholar, AJOL, EBSCO, Scopus, Embase, IC, HINARI, Global Health, PubMed Central, PubMed/Medline, ESCI

Physical address: "Kenya: 3rd Floor, Park Suite Building, Parkland Road, Nairobi. PoBox 38583-00100, tel: +254 (0)20-520-4356 | Cameroon: Immeuble TechnoPark Essos, Yaounde, PoBox: 10020 Yaounde, tel: +237 (0)24-309-5880"