Tuberculose multifocale révélée par une pancytopénie: à propos d’un cas

Nabil Tiresse, Mohamed Allaoui

PAMJ. 2018; 31:92. Published 05 Oct 2018 | doi:10.11604/pamj.2018.31.92.17046

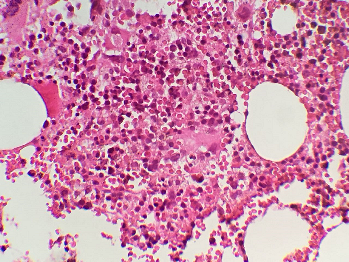
Patiente de 58 ans, admise dans un tableau de polypnée avec signes de lutte respiratoire et désaturant à 65% à l’air ambiant et une fièvre à 38,5°C, l’hémogramme trouve une pancytopénie, l’ionogramme objctive une légère cytolyse hépatique et la radio des poumons objective un aspect de miliaire bilatérale. Les recherches de BK dans les expectorations étaient négatives ainsi que le Gene Xpert. L’étude anatomo-pathologique de la biopsie ostéomédullaire montre un granulome épithélio-giganto-cellulaire sans nécrose caséeuse et la PCR met en évidence le mycobacterium tuberculosis dans le prélèvement de biopsie ostéo-médullaire. Une biopsie hépatique a mis en évidence un granulome épithélioïde sans nécrose caséeuse. Le diagnostic de tuberculose multifocale avec atteinte pulmonaire, hématopoïétique et hépatique était retenu. La miliaire tuberculeuse est l’une des atteintes sévères dans le cadre de la tuberculose, les bacilloscopies sont souvent négatives et le diagnostic peut être retenu par d’autres prélèvements notamment l’étude du liquide céphalo-rachidien et la biopsie ostéomédullaire. La biopsie d’autres organes peut apporter le diagnostic dans de rares cas. L’avènement de la PCR comme technique de biologie moléculaire a permis de raccourcir le délai de diagnostic et donc la mise en route du traitement qui parfois doit être administré avant même d’obtenir la certitude diagnostique compte tenu de la mise en jeu du pronostic vital au cours de ces atteintes sévères.
Corresponding author
Nabil Tiresse, Service de Pneumologie, Hôpital Militaire d’Instruction Mohamed V, Rabat, Maroc (nabil.tiresse1@gmail.com)


The Pan African Medical Journal (ISSN: 1937-8688) is a subsidiary of the Pan African Medical Journal. The contents of this journal is intended exclusively for professionals in the medical, paramedical and public health and other health sectors.

Currently tracked by: DOAJ, AIM, Google Scholar, AJOL, EBSCO, Scopus, Embase, IC, HINARI, Global Health, PubMed Central, PubMed/Medline, ESCI

Physical address: "Kenya: 3rd Floor, Park Suite Building, Parkland Road, Nairobi. PoBox 38583-00100, tel: +254 (0)20-520-4356 | Cameroon: Immeuble TechnoPark Essos, Yaounde, PoBox: 10020 Yaounde, tel: +237 (0)24-309-5880"