Infarctus médullaire aigu: un diagnostic méconnu au pronostic sévère

Mohamed Amine Mnaili, Ahmed Bourazza

PAMJ. 2018; 31:85. Published 04 Oct 2018 | doi:10.11604/pamj.2018.31.85.16854

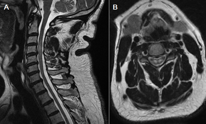
L’infarctus médullaire est un diagnostic relativement méconnu, qui engage à court terme le pronostic, aussi bien vital que fonctionnel du patient. La vascularisation médullaire est l’une des plus complexes de l’organisme en raison du nombre important d’artères qui y contribuent. La rareté des accidents vasculaires médullaires et la faible accessibilité des vaisseaux médullaires aux investigations expliquent que nos connaissances restent limitées. Nous rapportons le cas d’un patient de 62 ans, diabétique de type 2 sous antidiabétiques oraux depuis 13 ans et suivi pour un psoriasis depuis 4 ans, a été amené à l’hôpital dans la nuit par son fils devant l’installation brutal d’un déficit des 2 membres supérieurs. Ce déficit était précédé de cervicalgie aiguë lors d’une montée brutale du patient en pratiquant sa prière quotidienne. A son admission, le patient était conscient, tension artérielle: 120/86mmhg, fréquence cardiaque: 89 battements/min, apyrétique. L’examen clinique révélait une diplégie brachiale flasque. Il n’y avait pas de troubles sensitifs ni de troubles sphinctériens et l’examen des paires crâniens était normal. Une IRM (Imagerie par Résonnance Magnétique) médullaire était réalisée en urgence, mettant en évidence un hyper signal T2 et une diffusion centrale bilatérale réalisant un aspect de « Snake-eyes » (A et B). Le bilan étiologique avait révélé la présence d’une plaque d’athérome à l’origine de l’artère carotide interne gauche. Le diagnostic d’infarctus médullaire sur embolies fibrocartilagineuses a été retenu. Une rééducation fonctionnelle est commencée précocement ainsi qu’un traitement par antiagrégant plaquettaire.
Corresponding author
Mohamed Amine Mnaili, Service de Neurologie, Hôpital Militaire d’Instruction Mohammed V, Rabat, Maroc (aminemed08@gmail.com)


The Pan African Medical Journal (ISSN: 1937-8688) is a subsidiary of the Pan African Medical Journal. The contents of this journal is intended exclusively for professionals in the medical, paramedical and public health and other health sectors.

Currently tracked by: DOAJ, AIM, Google Scholar, AJOL, EBSCO, Scopus, Embase, IC, HINARI, Global Health, PubMed Central, PubMed/Medline, ESCI

Physical address: "Kenya: 3rd Floor, Park Suite Building, Parkland Road, Nairobi. PoBox 38583-00100, tel: +254 (0)20-520-4356 | Cameroon: Immeuble TechnoPark Essos, Yaounde, PoBox: 10020 Yaounde, tel: +237 (0)24-309-5880"