"Non parasitic hypereosinophilia revealing biventricular endomyocardial fibrosis"

Abdelkader Jalil El Hangouche, Oumaima Alaika

PAMJ. 2018; 29:58. Published 22 Jan 2018 | doi:10.11604/pamj.2018.29.58.14560

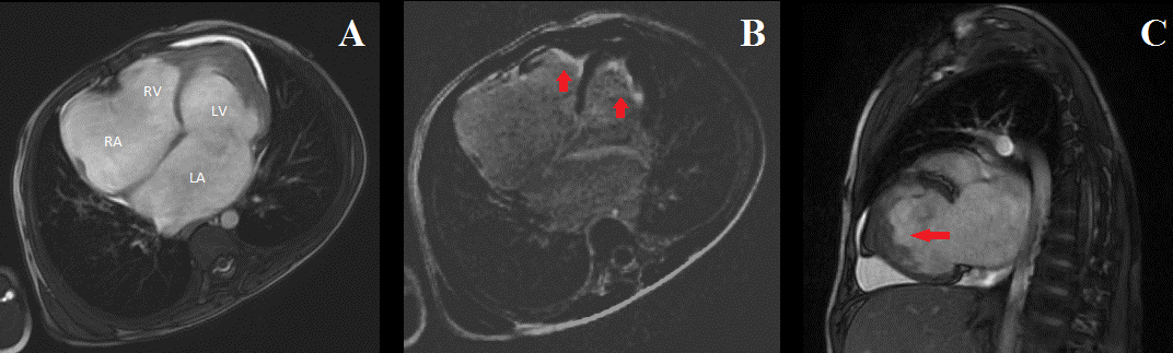
We report a case of a 7-year-old boy, without medical history, who presented a low weight-to-height ratio associated with effort dyspnea class III and hepatalgia. The physical examination objectified signs of right sided heart failure including jugular venous dilatation, congested hepatomegaly, an ascite, without peripheral oedema. At cardiac auscultation, the heartbeats were well perceived, with a breath of tricuspid regurgitation (grade 4/6). The blood pressure was 100/60 mm Hg. The pulmonary auscultation was normal. The electrocardiogram showed a paroxysmal atrial fibrillo-flutter with ventricular rate of 95 beats/min. The chest X-ray showed a cardiomegaly with an important auricles dilatation. The blood analysis objectified iron deficiency anemia and hypereosinophilia of 600/mm3. The liver and renal function tests were normal. The copro-parasitological examination was normal. Given the patient poor echo window, the transthoracic echocardiography hardly objectified, in two-dimension mode, dilated atria and hyperechogenic dense biventricular apical fibrosis. The systolic function of left ventricle and right ventricle was normal. The doppler echocardiography showed tricuspid and mitral restrictive inflow patterns with moderate pulmonary hypertension. The diagnosis of endomyocardial fibrosis was made and consolidated by findings of the cardiovascular magnetic resonance imaging (CMR) that objectified a restrictive cardiomyopathy with dilated atria and biventricular apical obliteration (A). In delayed enhancement sequences, we found apical sub-endocardial late gadolinium enhancement involving both the left ventricle and the right ventricle suggesting fibrosis (B) with left ventricular apical thrombus (C). The patient has received a medical therapy including diuretics and anticoagulant and was referred to undergo endocardiectomy.
Corresponding author
Abdelkader Jalil El Hangouche, Faculty of Medicine and Pharmacy of Tangier, Abdelmalek Essaâdi University, Tangier, Morocco (elhangouche.jalil@gmail.com)


The Pan African Medical Journal (ISSN: 1937-8688) is a subsidiary of the Pan African Medical Journal. The contents of this journal is intended exclusively for professionals in the medical, paramedical and public health and other health sectors.

Currently tracked by: DOAJ, AIM, Google Scholar, AJOL, EBSCO, Scopus, Embase, IC, HINARI, Global Health, PubMed Central, PubMed/Medline, ESCI

Physical address: "Kenya: 3rd Floor, Park Suite Building, Parkland Road, Nairobi. PoBox 38583-00100, tel: +254 (0)20-520-4356 | Cameroon: Immeuble TechnoPark Essos, Yaounde, PoBox: 10020 Yaounde, tel: +237 (0)24-309-5880"