Paragangliome tympanique simulant un cholestéatome: à propos d’un cas

Bouchra Rafiq, Ghizlane El Mghari

PAMJ. 2017; 28:169. Published 20 Oct 2017 | doi:10.11604/pamj.2017.28.169.13033

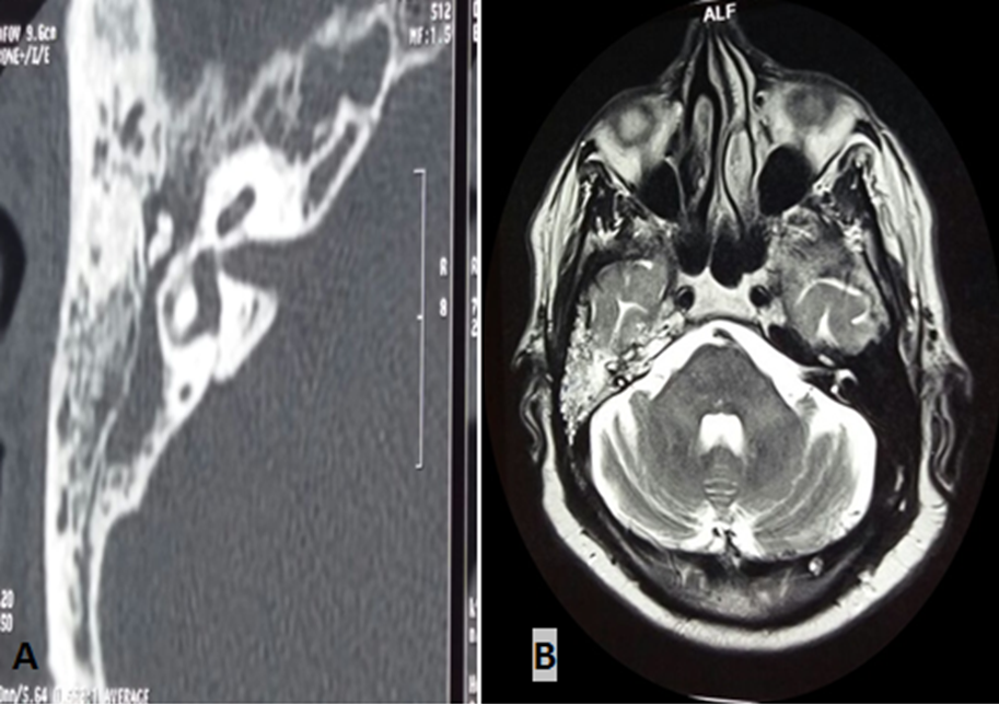
Les paragangliomes tympaniques sont des tumeurs bénignes fréquentes de l’oreille moyenne, faites de cellules neuroendocrines, dispersées le long des axes vasculaires de la tête, du cou et de la colonne vertébrale. Une hypoacousie et un acouphène pulsatile en sont souvent les symptômes révélateurs. L’otoscopie révèle souvent une masse rougeâtre pulsatile rétro-tympanique. L’IRM et la scintigraphie aux analogues de la somatostatine (octréo-scan) sont les examens radiologiques de choix. L’octréo-scan permet de rechercher les autres localisations. Le dosage des dérivés méthoxylés urinaires est nécessaire, complété par le dépistage des autres composantes des néoplasies endocriniennes multiples (NEM). La biopsie est contre-indiquée, vu le risque hémorragique. La chirurgie est le traitement de choix. Nous rapportons le cas du patient FA, 75 ans, admis pour paragangliome tympanique, révélé par une hypoacousie droite installée depuis 4 ans, associée à des acouphènes pulsatiles concomitantes aux battements cardiaques. Otoscopie: masse rétro-tympanique droite rougeâtre battante (A). (B) Comblement totale de l’oreille moyenne et des cellules mastoïdiennes, sans processus tumoral individualisable, avec hypersignal franc en diffusion, qui se rehausse de façon intense après injection de produit de contraste (PDC). Le bilan de NEM s’est révélé sans anomalies, notamment les dérivés méthoxylés de 24h, parathormone et calcitonine. Le diagnostic de paragangliome a été retenu, vu que le rehaussement intense après injection de PDC. Le patient est prévu pour octréo-scan avant la chirurgie.
Corresponding author
Bouchra Rafiq, Service d’Endocrinologie-Diabétologie, Maladies Métaboliques et Nutrition, Laboratoire PCIM, FMPM, Université Cadi Ayyad, CHU Mohamed VI, CHU Mohamed VI, Marrakech, Maroc (bouchrarafiq@hotmail.fr)


The Pan African Medical Journal (ISSN: 1937-8688) is a subsidiary of the Pan African Medical Journal. The contents of this journal is intended exclusively for professionals in the medical, paramedical and public health and other health sectors.

Currently tracked by: DOAJ, AIM, Google Scholar, AJOL, EBSCO, Scopus, Embase, IC, HINARI, Global Health, PubMed Central, PubMed/Medline, ESCI

Physical address: "Kenya: 3rd Floor, Park Suite Building, Parkland Road, Nairobi. PoBox 38583-00100, tel: +254 (0)20-520-4356 | Cameroon: Immeuble TechnoPark Essos, Yaounde, PoBox: 10020 Yaounde, tel: +237 (0)24-309-5880"