Céphalées d’allure migraineuse révélatrice d’un accident vasculaire cérébrale sur dissection carotidienne

Rajaonarison Lala Andriamasinavalona, Rasaholiarison Nomena Finiavana

PAMJ. 2017; 28:165. Published 20 Oct 2017 | doi:10.11604/pamj.2017.28.165.12620

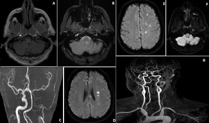
Les dissections des artères cervico-encéphaliques représentent la principale cause d'accident vasculaire cérébral (AVC) chez l'adulte jeune. Nous rapportons le cas d'un homme de 59 ans qui consultait pour une céphalée d'allure migraineuse avec des scintillements de l'œil gauche et une paresthésie de l'hémicorps droit paroxystique et d'évolution régressive. Chez un patient hypertendu et migraineux où l'examen clinique a permis de trouver une paraphasie phonémique avec manque de mots. L'imagerie par résonance magnétique (IRM) encéphalique en séquence vasculaire a montré en un hypersignal périvasculaire de l'artère carotide interne gauche (partie intra pétreuse) en diffusion et hyposignal en T2*, en faveur d'un hématome de la paroi avec occlusion artérielle à ce niveau. Aussi, plusieurs hypersignaux ponctiformes ont été mis en évidence en diffusion et Flair au niveau territoire artère cérébrale antérieur gauche et jonctionnel entre l'artère cérébrale antérieur et moyenne gauche sans présence de microbleeds au niveau parenchymateuse, en faveur d'un AVC d'origine embolique suite à la dissection carotidienne. Une anticoagulation à dose curative par antagoniste du vitamine K a été mise en place (INR cible entre 2 à 3) après héparinothérapie avec une rééducation orthophonique. Une angio-IRM tronc supra aortique à 3 mois a montré une reperméabilisation de La Carotide interne gauche intra pétreuse. L'imagerie est d'un intérêt majeur dans la confirmation diagnostique des dissections des artères cervico-encéphaliques et de l'éventualité d'un accident cérébral ischémique mais aussi thérapeutique tant immédiate que pour la suivi de ses patients.
Corresponding author
Rajaonarison Lala Andriamasinavalona, HNFC, CHU de Besançon, France (lalanaval@gmail.com)


The Pan African Medical Journal (ISSN: 1937-8688) is a subsidiary of the Pan African Medical Journal. The contents of this journal is intended exclusively for professionals in the medical, paramedical and public health and other health sectors.

Currently tracked by: DOAJ, AIM, Google Scholar, AJOL, EBSCO, Scopus, Embase, IC, HINARI, Global Health, PubMed Central, PubMed/Medline, ESCI

Physical address: "Kenya: 3rd Floor, Park Suite Building, Parkland Road, Nairobi. PoBox 38583-00100, tel: +254 (0)20-520-4356 | Cameroon: Immeuble TechnoPark Essos, Yaounde, PoBox: 10020 Yaounde, tel: +237 (0)24-309-5880"