A propos dÂ’une tuméfaction sternale

Dhia Kaffel, Hela Kchir

PAMJ. 2017; 28:146. Published 16 Oct 2017 | doi:10.11604/pamj.2017.28.146.13374

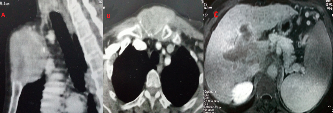
Nous rapportons le cas d'une femme âgée de 64 ans suivie pour hépatite virale C au stade de cirrhose ayant échoué au traitement antiviral. Lors de sa dernière consultation, la patiente a signalé l'apparition d'une voussure douloureuse thoracique antérieure. L'examen physique a révélé une masse dure et immobile en regard de l'articulation manubrio-sternale. Une tomodensitométrie (TDM) sterno-claviculaire a été réalisée, objectivant une lésion expansive ostéolytique centrée au niveau sur le manubrium sternal envahissant les parties molles (A, B) et dont la biopsie a révélé une tumeur maligne d'allure épithéliale d'architecture papillaire exprimant la pancytokératine et la CK7. Ce profil était évocateur d'une métastase d'un cholangiocarcinome ou d'un cancer ostéophile. Un examen gynécologique spécialisé avec une mammographie et une échographie mammaire ont éliminé une origine gynécologique. Une échographie cervicale a écarté une tumeur thyroïdienne. La TDM thoracique a révélé de multiples nodules pulmonaires d'allure secondaire. Un angioscanner abdominal a montré la présence d'une masse tissulaire hépatique de 6 cm envahissant la bifurcation portale avec thrombose porte évocatrice d'un carcinome hépatocellulaire (CHC) (C). Devant la contradiction discordance entre les données anatomopathologiques et morphologiques, une étude immunohistochimique par l'anti-Hep-Par-1 a été réalisée montrant une expression de cet anticorps par les cellules tumorales. Le diagnostic de métastase manubriosternale d'un carcinome hépatocellulaire peu différencié a été retenu. La patiente a été proposée pour chimiothérapie. Les métastases osseuses révélant un CHC sont exceptionnelles. Toutefois, il faut les évoquer devant toute lésion osseuse lytique, surtout chez les patients atteints d'hépatopathie chronique. Vu leur pronostic sombre, leur traitement est palliatif, visant essentiellement à améliorer la qualité de vie des patients.
Corresponding author
Dhia Kaffel, Rheumatology Department, Kassab Institute, Manouba, Tunisia (dhkzero@yahoo.fr)


The Pan African Medical Journal (ISSN: 1937-8688) is a subsidiary of the Pan African Medical Journal. The contents of this journal is intended exclusively for professionals in the medical, paramedical and public health and other health sectors.

Currently tracked by: DOAJ, AIM, Google Scholar, AJOL, EBSCO, Scopus, Embase, IC, HINARI, Global Health, PubMed Central, PubMed/Medline, ESCI

Physical address: "Kenya: 3rd Floor, Park Suite Building, Parkland Road, Nairobi. PoBox 38583-00100, tel: +254 (0)20-520-4356 | Cameroon: Immeuble TechnoPark Essos, Yaounde, PoBox: 10020 Yaounde, tel: +237 (0)24-309-5880"