Progressive dementia with seizures in an HIV infected lady

Joe James, James Jose

PAMJ. 2017; 27:242. Published 02 Aug 2017 | doi:10.11604/pamj.2017.27.242.9391

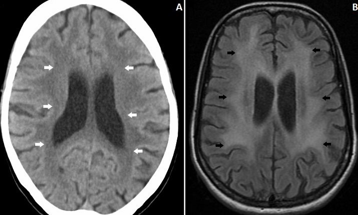
A 40-year-old female presented with progressive memory loss over the past 1-month. She had one episode of generalized tonic clonic seizure 2-months back, but did not take any treatment. She had significant involuntary weight loss. On examination she was emaciated and had a BMI of 16.4. Neurological examination showedcognitive decline in the form of loss of recent memory,judgment and abstract thinking, with preserved language and visuospatial orientation. There were no focal neurological deficits. She was tested positive for HIV. Her CD4+ count was 21/µL. Computed tomographyof the brain revealed bilateral hypodensities in the periventricular area (A). MRI of the brain showed bilateral symmetrical periventricular white matter FLAIR hyperintensities in frontal and parietal lobes with diffuse brain atrophy suggestive of HIV encephalopathy (B). She was started on combination antiretroviral therapy with tenofovir, lamivudine and efavirenz and discharged. HIV encephalopathy refers to neurocognitive disorders associated with HIV infection. It usually occurs in late stages of HIV-infection and correlates with advanced immunosuppression. Earliest recognizable findings include impairment of attention and concentration. This progresses to frank dementia, personality changes and motor abnormalities. Neuroimaging typically shows global cerebral atrophy with symmetrical white matter hyperintensities predominantly in the periventricular area. Lesions of progressive multifocal leukoencephalopathy can mimic HIV encephalopathy, but are usually asymmetric, involve the peripheral “U” fibres first and have predilection for parieto-occipital lobes.Treatment of HIV encephalopathy is initiation or intensification of anti-retroviral therapy, and psychomotor improvement is usually seen after therapy.
Corresponding author
Joe James, Department of Internal Medicine, Government Medical College Kozhikode, Kerala, India (drjoejames@gmail.com)


The Pan African Medical Journal (ISSN: 1937-8688) is a subsidiary of the Pan African Medical Journal. The contents of this journal is intended exclusively for professionals in the medical, paramedical and public health and other health sectors.

Currently tracked by: DOAJ, AIM, Google Scholar, AJOL, EBSCO, Scopus, Embase, IC, HINARI, Global Health, PubMed Central, PubMed/Medline, ESCI

Physical address: "Kenya: 3rd Floor, Park Suite Building, Parkland Road, Nairobi. PoBox 38583-00100, tel: +254 (0)20-520-4356 | Cameroon: Immeuble TechnoPark Essos, Yaounde, PoBox: 10020 Yaounde, tel: +237 (0)24-309-5880"