Image en popcorn cérébrale

Rachid Ammor, Assou Ajja

PAMJ. 2016; 23:3. Published 08 Jan 2016 | doi:10.11604/pamj.2016.23.3.8583

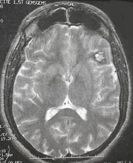
Les cavernomes cérébraux sont des lésions vasculaires définies par la présence de capillaires malformés sans interposition de tissu nerveux. Ce sont des lésions relativement rares (0,1à 0,5% de la population générale dont moins de 5% sont symptomatiques), la symptomatologie clinique est dominée par l'hémorragie et l'épilepsie et dépend aussi de la localisation. L'IRM cérébral est l'examen de référence pour le diagnostic, l'approche thérapeutique et le suivi. Nous rapportons ici l'observation clinique d'un jeune homme de 27 ans, sans antécédents, qui a présenté deux crises convulsives généralisées à une semaine d'intervalle. L'examen clinique a été normal. L'IRM cérébrale a objectivé une lésion frontale gauche avec aspect typique en pop corn ou poivre et sel associant hyper signal (saignement récent ou calcifications) et hypo signal (dépôt d'hémosidérine=saignement ancien) sur les séquences pondérées T2. Le patient a été mis sous traitement antiépileptique a base d'acide valproïque avec contrôle total des crises.
Corresponding author
Rachid Ammor, Hôpital Militaire My Ismael, Meknès, Maroc (ammorrachid@gmail.com)


The Pan African Medical Journal (ISSN: 1937-8688) is a subsidiary of the Pan African Medical Journal. The contents of this journal is intended exclusively for professionals in the medical, paramedical and public health and other health sectors.

Currently tracked by: DOAJ, AIM, Google Scholar, AJOL, EBSCO, Scopus, Embase, IC, HINARI, Global Health, PubMed Central, PubMed/Medline, ESCI

Physical address: "Kenya: 3rd Floor, Park Suite Building, Parkland Road, Nairobi. PoBox 38583-00100, tel: +254 (0)20-520-4356 | Cameroon: Immeuble TechnoPark Essos, Yaounde, PoBox: 10020 Yaounde, tel: +237 (0)24-309-5880"