TSH secreting adenoma: a rare cause of severe head ache

Serdar Olt, Mehmet Şirik

PAMJ. 2016; 23:2. Published 08 Jan 2016 | doi:10.11604/pamj.2016.23.2.8451

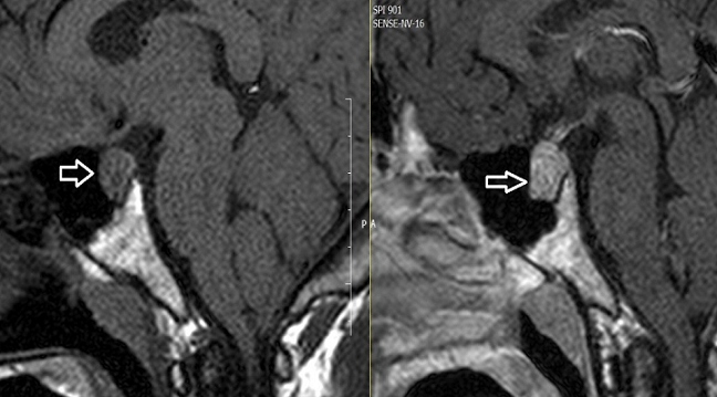
31 years old male patient admitted to the emergency department because of recurrent severe head aches which continued for two years. The patient has been consulted our clinic of internal medicine because of thyroid function abnormalities. Laboratory investigations revealed elevated serum TSH of 8,6 mU/L (normal range (N); 0.34-5,6), free T4 (fT4) of 1,73 (N;0,61-1,12ng/dl), and free T3(fT3) of 5,48 (N; 2,5-3,9pg/mL). Other laboratory parameters were normal. Physical examination revealed stage 3 goiter. The other system examinations were normal. We have learned that two years ago brain computed tomography scan was performed due to head a cheand result was reported as normal. Considering secondary hyper thyroidism pituitary MR was performed. Pituitary MR revealed a 13x18 mm macro adenoma (Figure). The patient under went transphenoidal surgery. Final diagnosis wasTSH secreting adenoma after pathological examination. After surgery head a cheand hyperthyroidism were recovered.
Corresponding author
Serdar Olt, Ad1yaman University Medical Faculty Department of Internal Medicine, Ad1yaman, Turkey, Adıyaman University Medical Faculty Department of Radiology, Adıyaman, Turkey (serdarolt84@yahoo.com)


The Pan African Medical Journal (ISSN: 1937-8688) is a subsidiary of the Pan African Medical Journal. The contents of this journal is intended exclusively for professionals in the medical, paramedical and public health and other health sectors.

Currently tracked by: DOAJ, AIM, Google Scholar, AJOL, EBSCO, Scopus, Embase, IC, HINARI, Global Health, PubMed Central, PubMed/Medline, ESCI

Physical address: "Kenya: 3rd Floor, Park Suite Building, Parkland Road, Nairobi. PoBox 38583-00100, tel: +254 (0)20-520-4356 | Cameroon: Immeuble TechnoPark Essos, Yaounde, PoBox: 10020 Yaounde, tel: +237 (0)24-309-5880"