Les luxations bipolaires de l’avant-bras (floatingforearm)

Badr Ennaciri, Mohamed Kharmaz

PAMJ. 2015; 22:234. Published 12 Nov 2015 | doi:10.11604/pamj.2015.22.234.7890

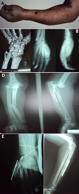
Les luxations concomitantes ipsilatérales du coude et du poignet (floatingforearm) constituent une lésion très rare. Les luxations périlunaires surviennent suite à un traumatisme à haute énergie par hyperextension. Le diagnostic nécessite souvent le recours au scanner du poignet. Selon la force exercée sur le poignet, d'autres lésions peuvent y être associées. Le traitement est urgent et consiste en une réduction et stabilisation des articulations atteintes, suivi par un programme adapté de rééducation fonctionnelle du membre traumatisé. Nous rapportons l'observation d'un patient âgé de 56 ans, commerçant, droitier, tabagique chronique. Victime d'un accident de circulation avec traumatisme du membre supérieur gauche. L'examen clinique trouvait un avant-bras et main gauches œdématiés, coude et poignet déformés et ecchymotiques (A). L'examen vasculo-nerveux était normal. Les radiographies de l'avant-bras, du coude, du poignet et de la main gauches face et profil avec scanner du poignet,avaient objectivé des luxations postéro-externe du coude gauche, périlunaire antérieure du carpe et de la radio-ulnaire distale avec fracture diaphysaire de l'ulna, fracture de la styloïde radiale, fracture du scaphoïde carpien trans-tubérositaire type IV de Schernberget fracture de la base du 1er métacarpien (B,C). Le traitement avait consisté en une réduction orthopédique de la luxation du coude, ostéosynthèse de l'ulna par plaque spécial radius, double embrochage du scaphoïde, réduction et stabilisation de la luxation périlunaire et de la radio-ulnaire distale et embrochage de la base du 1er métacarpien (D).
Corresponding author
Badr Ennaciri, Service de Chirurgie Orthopédique, CHU Avicenne, Rabat, Maroc (en.badr@gmail.com)

This image

  • HTML
  • PDF in process
Articles published in PAMJ are Open Access and distributed under the terms of the Creative Commons Attribution 4.0 International (CC BY 4.0).

eISSN: 1937-8688


The Pan African Medical Journal (ISSN: 1937-8688) is a subsidiary of the Pan African Medical Journal. The contents of this journal is intended exclusively for professionals in the medical, paramedical and public health and other health sectors.

Currently tracked by: DOAJ, AIM, Google Scholar, AJOL, EBSCO, Scopus, Embase, IC, HINARI, Global Health, PubMed Central, PubMed/Medline, ESCI

Physical address: "Kenya: 3rd Floor, Park Suite Building, Parkland Road, Nairobi. PoBox 38583-00100, tel: +254 (0)20-520-4356 | Cameroon: Immeuble TechnoPark Essos, Yaounde, PoBox: 10020 Yaounde, tel: +237 (0)24-309-5880"