Un abcès du psoas compliquant une appendicite aiguë

Ammar Mahmoudi, Mabrouk Abdelali

PAMJ. 2015; 22:231. Published 11 Nov 2015 | doi:10.11604/pamj.2015.22.231.8201

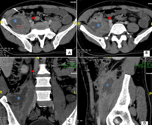
Primitif ou secondaire, l'abcès du psoas est une entité rare. Son diagnostic étiologique peut s'avérer délicat. En ce sens l'apport de l'imagerie et en particulier de la tomodensitométrie est fondamental. Malgré les examens d'imagerie, l'origine de l'abcès peut demeurer inconnue et découverte qu'en peropératoire (66% des cas). L'appendicite occupe la deuxième place (16%) après la maladie de Crohn (60%) parmi les étiologies digestives des abcès du psoas. L'appendice siège dans 26 à 65% des cas en position rétro-cæcale. Dans cette position, l'appendice peut loger dans une fossette péritonéale ou en rétropéritonéale et l'infection évoluer vers la formation d'un abcès, la diffusion vers l'espace rétropéritonéal, et rarement se compliquer d'un abcès du psoas. L'appendicite aiguë rétro-cæcale réalise un tableau clinique insidieux, atypique dans plus de la moitié des cas. A ce propos nous en rapportons une observation d'un homme de 34 ans, diabétique insulinodépendant, ayant présenté une douleur de la fosse iliaque et lombaire droite depuis une semaine. A l'examen, il était fébrile à 38,5ºC et il y avait un psoïtis, une sensibilité de l'hémi-abdomen droit, et une masse para-ombilicale et lombaire droite. Il existait une hyperleucocytose à 24000/mm3 et une CRP à 109 mg/l. La tomodensitométrie abdominale (A, B, C, D) avait montré un abcès du psoas droit d'origine appendiculaire. Par une incision de Mac Burney, l'appendice était rétro-cæcal abcédé compliqué d'un abcès du psoas. Il a été réalisé une appendicectomie, une évacuation de la collection purulente du psoas et un drainage. Sous antibiothérapie, les suites opératoires étaient simples.
Corresponding author
Ammar Mahmoudi, Service de Chirurgie Générale et Digestive, CHU Fattouma Bourguiba de Monastir, Monastir, Tunisie (mahmoudi_a1975@yahoo.fr)


The Pan African Medical Journal (ISSN: 1937-8688) is a subsidiary of the Pan African Medical Journal. The contents of this journal is intended exclusively for professionals in the medical, paramedical and public health and other health sectors.

Currently tracked by: DOAJ, AIM, Google Scholar, AJOL, EBSCO, Scopus, Embase, IC, HINARI, Global Health, PubMed Central, PubMed/Medline, ESCI

Physical address: "Kenya: 3rd Floor, Park Suite Building, Parkland Road, Nairobi. PoBox 38583-00100, tel: +254 (0)20-520-4356 | Cameroon: Immeuble TechnoPark Essos, Yaounde, PoBox: 10020 Yaounde, tel: +237 (0)24-309-5880"