Primary adrenal hydatid cyst

Younes Aggouri, Karim Ibn majdoub Hassani

PAMJ. 2013; 16:153. Published 21 Dec 2013 | doi:10.11604/pamj.2013.16.153.3550

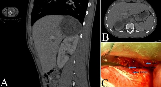
Primary hydatid cyst of the adrenal gland remains an exceptional localization. The adrenal gland is an uncommon site even in our country in which echinococcal disease is endemic. In the current literature, only 21 cases have been reported up to 2007. We report the case of a 56-year-old Moroccan man was admitted to our department for right flank pain with no particular irradiation that had started three month previously. His physical examination was unremarkable. A hematological examination was characterized by a slight augmentation of white blood cells (12 cells/mm3) and by eosinophilia (8% eosinophils). His blood biochemistry was normal. Computed tomography showed a cystic mass between the liver and the kidney with daughter cysts filing the lesion (Type III). After the radiological findings, the mass was presumed to be a primary adrenal hydatid cyst and surgical exploration was planned. Despite his negative serology tests, the diagnosis of a hydatid cyst of the adrenal gland was confirmed on surgical examination. Our patient underwent under costal laparotomy with surgical excision of his cyst and preserving the gland. Postoperatively, the patient was discharged from the hospital in a stable condition 5 days later. Our patient underwent therapy with albendazole (400 mg/day) hang 4 months, no recurrence has occurred after 16 months of follow-up.
Corresponding author
Aggouri Younes, Faculté de Médecine et de Pharmacie de Fez, Université Sidi Mohammed Ben Abdellah, Département de Chirurgie, CHU Hassan II, Fez, Km2.200, Route de Sidi Hrazem, Fez 30000, Morocco (draggouriyou@gmail.com)


The Pan African Medical Journal (ISSN: 1937-8688) is a subsidiary of the Pan African Medical Journal. The contents of this journal is intended exclusively for professionals in the medical, paramedical and public health and other health sectors.

Currently tracked by: DOAJ, AIM, Google Scholar, AJOL, EBSCO, Scopus, Embase, IC, HINARI, Global Health, PubMed Central, PubMed/Medline, ESCI

Physical address: "Kenya: 3rd Floor, Park Suite Building, Parkland Road, Nairobi. PoBox 38583-00100, tel: +254 (0)20-520-4356 | Cameroon: Immeuble TechnoPark Essos, Yaounde, PoBox: 10020 Yaounde, tel: +237 (0)24-309-5880"