Two hepatic abscesses of biliary origin: interest of echography

Zine el Abidine Benali

PAMJ. 2013; 16:151. Published 21 Dec 2013 | doi:10.11604/pamj.2013.16.151.3581

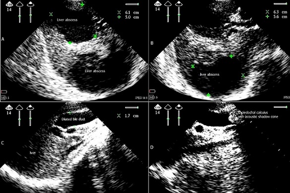
The annual incidence of non-parasitic liver abscess is low with 2.3 per 100 000. The biliary abscesses are usually secondary to biliary obstruction; with gallstones is by far the most common. In ultrasound, the early phase: abscess may appear hyperechoic, the liquefaction phase: anechoic with internal echoes, contours are usually irregular. The treatment of abscess hepatic are based on the puncture echo guided, and by broad-spectrum antibiotics guided by susceptibility of germ, surgical treatment is reserved for failures puncture, if not endoscopic sphincterotomy. We report a woman aged 85 years, coronary heart disease followed for his five years with ejection fraction 35%, cholecystectomized seven years ago, admitted to the ICU for fever, pain right upper quadrant. Abdominal ultrasound showed a dilated principal bile duct to 1.7 cm diameter with gallstone a 1.8/1.7cm, two liver images: segment VII and V with 6.1/5cm and 6.3/5.6 cm diameter, fuzzy aspects, without clear boundary with the liver parenchyma, with an anechoic center associated with some hyperechoic image in favor of liquefaction abscess stage, of biliary origin. Amoebic serology was negative. The drainage echo guided was made with empirical antibiotic, and guided after by a susceptibility which the germ was a streptococcus. The patient was referred for possible endoscopic sphincterotomy after seven days, given the high anesthetic risk for surgical drainage of the bile duct.
Corresponding author
Zine el Abidine Benali, Department of Anesthesiology & Intensive Care, CHP Eddarak, BERKANE, Morocco (benazine1@yahoo.fr)


The Pan African Medical Journal (ISSN: 1937-8688) is a subsidiary of the Pan African Medical Journal. The contents of this journal is intended exclusively for professionals in the medical, paramedical and public health and other health sectors.

Currently tracked by: DOAJ, AIM, Google Scholar, AJOL, EBSCO, Scopus, Embase, IC, HINARI, Global Health, PubMed Central, PubMed/Medline, ESCI

Physical address: "Kenya: 3rd Floor, Park Suite Building, Parkland Road, Nairobi. PoBox 38583-00100, tel: +254 (0)20-520-4356 | Cameroon: Immeuble TechnoPark Essos, Yaounde, PoBox: 10020 Yaounde, tel: +237 (0)24-309-5880"