Maladie de Best

Yasmine Chaoui Roqai, Khanaouchi Nawal

PAMJ. 2019; 34:61. Published 01 Oct 2019 | doi:10.11604/pamj.2019.34.61.19771

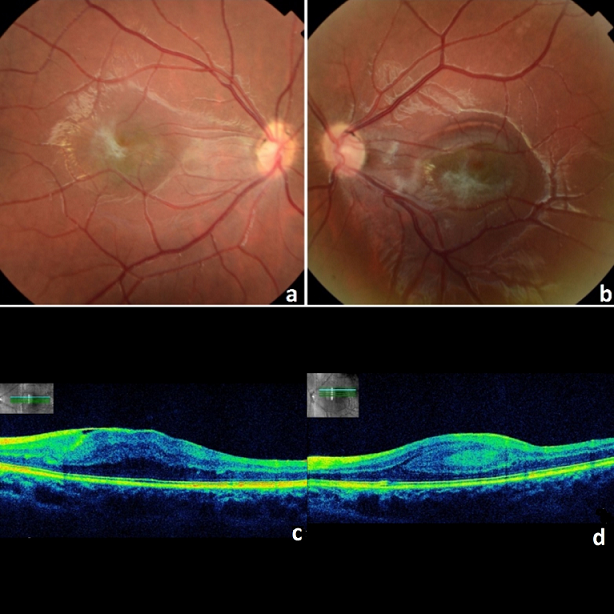
La maladie de Best est une dystrophie maculaire héréditaire transmise sur le mode autosomique dominant, caractérisée par la présence de dépôts vitellins auto-fluorescents dont la séquence évolutive est stéréotypée de l'apparition à la fragmentation du matériel jusqu'à sa résorption. L'âge d'apparition compris entre 7 et 12 ans. Le plus souvent de découverte fortuite car asymptomatique sauf en présence de complications. Nous rapportons le cas d'une patiente âgée de 8 ans, fille unique, sans antécédents pathologiques particuliers. L'examen ophtalmologique retrouve une acuité visuelle corrigée à 7/10 ODG, l'examen du segment antérieur est sans particularités, l'examen du fond dœil retrouve un foyer maculaire blanc-jaunâtre (A, B). L'angiographie à la fluorescéine a objectivé une hyperfluorescence aux temps précoce suivie d'une hypofluorescence. La tomographie par cohérence optique (OCT) maculaire montre la présence d'un espace optiquement vide entre la neuro-rétine et l'épithélium pigmentaire (C, D). Un bilan a été réalisé: l'électro-oculogramme était perturbé avec un coefficient d'Arden à 146% au niveau de lœil droit et à 179% au niveau de lœil gauche. L'électro-rétinogramme, les champs visuels, et le test de vision des couleurs étaient normaux. Le fond dœil des parents était normal. Le diagnostic de maladie de BEST a été posé chez cette patiente au stade pré-vitelliforme devant l'hypofluorescence aux temps précoce, l'aspect de l'OCT et l'altération de l'élécto-rétinogramme. Les diagnostics différentiels pouvant être évoqués sont la maladie de Stargardt, la dystrophie progressive des cônes et le rétinoschisis lié à l'X. Aucun traitement n'a été proposé pour cette patiente mais une simple surveillance.
Corresponding author
Yasmine Chaoui Roqai, Service d’Ophtalmologie, Hôpital Militaire d’Instruction Mohammed V, Rabat, Maroc (dr.yasminechaoui@gmail.com)


The Pan African Medical Journal (ISSN: 1937-8688) is a subsidiary of the Pan African Medical Journal. The contents of this journal is intended exclusively for professionals in the medical, paramedical and public health and other health sectors.

Currently tracked by: DOAJ, AIM, Google Scholar, AJOL, EBSCO, Scopus, Embase, IC, HINARI, Global Health, PubMed Central, PubMed/Medline, ESCI

Physical address: "Kenya: 3rd Floor, Park Suite Building, Parkland Road, Nairobi. PoBox 38583-00100, tel: +254 (0)20-520-4356 | Cameroon: Immeuble TechnoPark Essos, Yaounde, PoBox: 10020 Yaounde, tel: +237 (0)24-309-5880"