Tumeur de la voie excrétrice supérieure et hydronéphrose due à un syndrome de la jonction pyélo-urétérale: une association rare

Soufiane Ennaciri, Jean Paul Omana

PAMJ. 2018; 31:201. Published 22 Nov 2018 | doi:10.11604/pamj.2018.31.201.16181

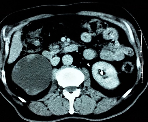
L'association tumeur de la voie excrétrice supérieure et hydronéphrose due à un syndrome de la jonction pyélo-urétérale est une entité rare. En effet, les tumeurs de la voie excrétrice supérieure et l'hydronéphrose ont classiquement une relation de cause à effet. Cette dernière est due le plus souvent à l'obstruction par une tumeur de l'uretère ou de la jonction pyélo-urétérale. Nous rapportons le cas d'un patient de 66 ans, aux antécédents de tabagisme et de pyélonéphrite droite, présentant des douleurs lombaires droites évoluant par intermittence depuis plusieurs mois sans hématurie. L'échographie a montré une dilatation des cavités pyélo-caliciels avec réduction majeur de l'index cortico-médullaire du rein droit. L'uroscanner a douté entre une dysplasie kystique du rein droit, et une hydronéphrose droite sur syndrome de la jonction pyélo-urétérale avec des images bourgeonnantes intra rénales faisant suspecter une tumeur pyélique. Le bilan a été complété par une cytologie urinaire quie est revenue positive. Une néphro-urétérectomie droite par laparotomie a été réalisé et l'examen anatomopathologique a confirmé qu'il s'agit bien d'un carcinome urothélial des voies excrétrices supérieures.
Corresponding author
Soufiane Ennaciri, Service d'Urologie, Centre Hospitalier Universitaire Hassan II, Fès, Maroc (soufenna@hotmail.com)


The Pan African Medical Journal (ISSN: 1937-8688) is a subsidiary of the Pan African Medical Journal. The contents of this journal is intended exclusively for professionals in the medical, paramedical and public health and other health sectors.

Currently tracked by: DOAJ, AIM, Google Scholar, AJOL, EBSCO, Scopus, Embase, IC, HINARI, Global Health, PubMed Central, PubMed/Medline, ESCI

Physical address: "Kenya: 3rd Floor, Park Suite Building, Parkland Road, Nairobi. PoBox 38583-00100, tel: +254 (0)20-520-4356 | Cameroon: Immeuble TechnoPark Essos, Yaounde, PoBox: 10020 Yaounde, tel: +237 (0)24-309-5880"