Neurosarcoïdose cérébrale

Maha Ait Berri, Abdelhadi Rouimi

PAMJ. 2018; 30:67. Published 28 May 2018 | doi:10.11604/pamj.2018.30.67.15632

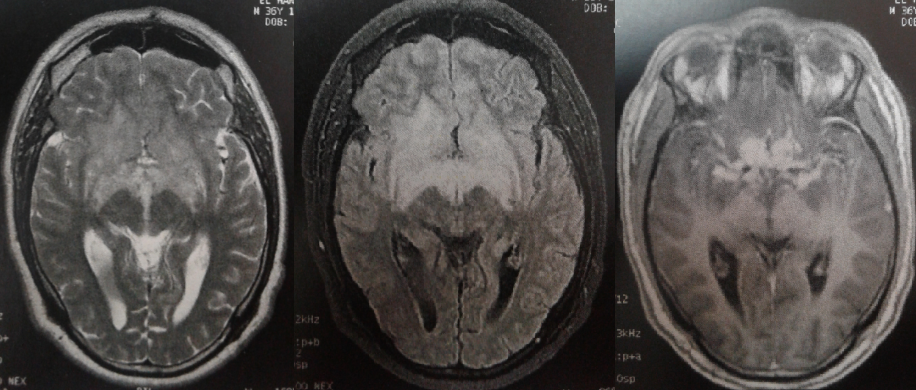
Nous rapportons l´observation d´un patient de 37 ans qui présenta une neuropathie optique droite. L´imagerie par résonnance magnétique (IRM) révéla la présence d´un hypersignal T2 de la ligne médiane rehaussé après injection de gadolinium. L´examen du liquide céphalo-rachidien (LCR) retrouvait une méningite lymphocytaire à 64 éléments blancs avec hyperproteinorachie. Le scanner thoracique était en faveur d’une granulomatose inflammatoire type sarcoïdose stade 2. L´enzyme de conversion de l´angiotensine était élevée. Le patient a été mis sous traitement corticoïdes avec bonne évolution. La sarcoïdose est une granulomatose diffuse, multisystémique, d´étiologie inconnue. Une localisation neurologique est observée dans 5 à 15% des cas et révélatrice dans 10 à 30% des cas. Sa présentation clinique neurologique, très variée, est représentée essentiellement par la méningo-encéphalite et l´atteinte des nerfs crâniens. Le nerf facial est le plus fréquemment touché devant le nerf optique. L´IRM cérébrale permet de mieux visualiser les lésions sous forme de nodules infiltrant en isosignal T1 et en hypersignal T2, avec un rehaussement après injection de produit de contraste. La localisation préférentielle est suprasellaire avec atteinte de l´hypothalamus, du pédoncule hypophysaire et du chiasma optique. D´autres anomalies sont volontiers visualisées par le gadolinium, notamment un épaississement diffus ou nodulaire des leptoméninges avec un aspect de pachyméningite, des lésions du parenchyme cérébral (pariétal, frontal, cérébelleux) ou de la moelle épinière. Le diagnostic repose sur la combinaison de données cliniques, radiologiques, biologiques et histologiques. Le traitement repose sur la corticothérapie en première intention, en association parfois avec des immunosuppresseurs.
Corresponding author
Maha Ait Berri, Service de Neurologie, Hôpital Militaire Moulay Ismail, Meknès, Maroc (mahaaitberri82@gmail.com)


The Pan African Medical Journal (ISSN: 1937-8688) is a subsidiary of the Pan African Medical Journal. The contents of this journal is intended exclusively for professionals in the medical, paramedical and public health and other health sectors.

Currently tracked by: DOAJ, AIM, Google Scholar, AJOL, EBSCO, Scopus, Embase, IC, HINARI, Global Health, PubMed Central, PubMed/Medline, ESCI

Physical address: "Kenya: 3rd Floor, Park Suite Building, Parkland Road, Nairobi. PoBox 38583-00100, tel: +254 (0)20-520-4356 | Cameroon: Immeuble TechnoPark Essos, Yaounde, PoBox: 10020 Yaounde, tel: +237 (0)24-309-5880"