Solitary epidural lipoma

Omar Boulahroud, Tarik Ziadi

PAMJ. 2018; 30:52. Published 21 May 2018 | doi:10.11604/pamj.2018.30.52.15154

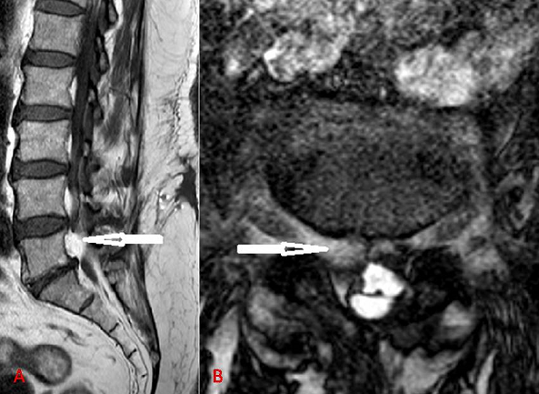
Spinal epidural lipomatosis (SEL) is defined as normal adipose tissue that is pathologically overgrown in the epidural space of the spinal canal. It usually occurs in obese people, patients with history of corticosteroid use or endocrinopathy. They usually present with gradually progressing symptoms and are rarely associated with rapidly aggravated neurologic deficits. Radiologic assessments are mostly conducted by using MRI. A 65-year-old woman presented with isolated low back pain. She had no history of corticosteroid use, endocrinopathy or radicular pain. On examination, she was obese (height 155cm, weight 87kg) with a body mass index (BMI) of 56.1 kg/m2. Neurological exam was normal with no motor weakness and sensation was intact. Plain radiographs showed no evidence of abnormality, including instability and other pathologic findings. Magnetic resonance imaging (MRI) revealed an epidural mass posterior to the L5 vertebral body that was isosignal to subcutaneous fat and it compressed asymmetrically on the right side of the cauda equina and the exiting right L5 nerve root on sagittal (A) and axial (B) T2 weighted images. There was no evidence of spinal stenosis. The result of electromyography was normal. We recommended surgical intervention to relieve pain but the patient declined. Opioid analgesia has been prescribed and her symptoms became much improved. Weight reduction by physiotherapy and exercise resulted in complete loss of lumbar pain (the patient lost 30kg in 6 months) and MRI control showed a complete disappearance of the mass.
Corresponding author
Omar Boulahroud, Department of Neurosurgery, Military Hospital My Ismail, Meknes, Morocco (omarboulahroud78@outlook.fr)


The Pan African Medical Journal (ISSN: 1937-8688) is a subsidiary of the Pan African Medical Journal. The contents of this journal is intended exclusively for professionals in the medical, paramedical and public health and other health sectors.

Currently tracked by: DOAJ, AIM, Google Scholar, AJOL, EBSCO, Scopus, Embase, IC, HINARI, Global Health, PubMed Central, PubMed/Medline, ESCI

Physical address: "Kenya: 3rd Floor, Park Suite Building, Parkland Road, Nairobi. PoBox 38583-00100, tel: +254 (0)20-520-4356 | Cameroon: Immeuble TechnoPark Essos, Yaounde, PoBox: 10020 Yaounde, tel: +237 (0)24-309-5880"