Rupture hémorragique d’une malformation arterioveineuse géante chez un sujet jeune à Ouagadougou

Anselme Alfred Dabilgou, Julie Marie Adeline Kyelem

PAMJ. 2018; 29:38. Published 17 Jan 2018 | doi:10.11604/pamj.2018.29.38.12253

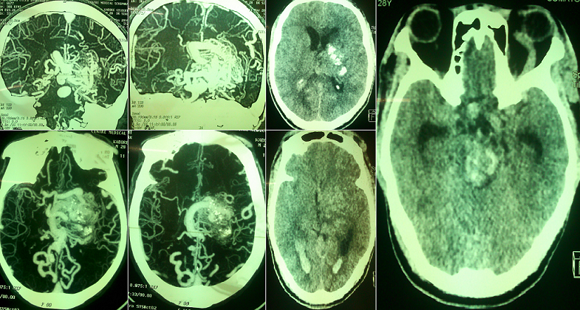
Les malformations vasculaires artériole-veineuses sont des pathologies vasculaires agressives présentant un risque hémorragique lourd de conséquence en termes de morbi-mortalité. Les MAV sont en majorité sporadiques. Le mode de révélation de la MAV est une hémorragie dans 50% des cas. A travers cet article, nous rapportons l'observation clinique d'un patient de 28 ans, hospitalisé dans le service de neurologie du CHU Yalgado Ouédraogo pour déficit moteur de l'hémicorps droit d'installation brutale accompagné de trouble de la conscience. Dans les antécédents, on notait des céphalées chroniques traitées par automédication et des crises épileptiques bravais jacksoniennes droites. L'examen neurologique à l'entrée retrouvait une hémiplégie droite proportionnelle, une aphasie de Broca, une ophtalmologie gauche douloureuse avec ptosis, un chémosis gauche et un syndrome méningé fébrile avec une fièvre à 40°C. Le score NIHSS était à 21/42 et un score ICH à 2 à l'entrée. Le scanner cérébral en urgence montrait une hémorragie cérébrale des noyaux gris centraux et du tronc cérébral, une inondation intra-ventriculaire et des citernes de la base. L'hémogramme notait une hyperleucocytose à 13 200/mm3 à prédominance granulocytaire (72.6%). La radiographie pulmonaire montrait une pneumopathie droite de type alvéolaire. L'intradermo-reaction (IDR) à la tuberculine était positive à 17mm. L'angioscanner cérébrale à distance (J24) retrouvait une malformation arterio-veineuse des artères cérébrales moyennes et vertébrales postérieures et une thrombose du sinus caverneux.
Corresponding author
Anselme Alfred Dabilgou, Department of Neurology, Teaching Hospital Yalgado Ouedraogo of Ouagadougou (dabilgouanselm@yahoo.fr)


The Pan African Medical Journal (ISSN: 1937-8688) is a subsidiary of the Pan African Medical Journal. The contents of this journal is intended exclusively for professionals in the medical, paramedical and public health and other health sectors.

Currently tracked by: DOAJ, AIM, Google Scholar, AJOL, EBSCO, Scopus, Embase, IC, HINARI, Global Health, PubMed Central, PubMed/Medline, ESCI

Physical address: "Kenya: 3rd Floor, Park Suite Building, Parkland Road, Nairobi. PoBox 38583-00100, tel: +254 (0)20-520-4356 | Cameroon: Immeuble TechnoPark Essos, Yaounde, PoBox: 10020 Yaounde, tel: +237 (0)24-309-5880"