About a subcutaneous calcification

Dhia Kaffel, Hela Kchir

PAMJ. 2018; 29:9. Published 04 Jan 2018 | doi:10.11604/pamj.2018.29.9.14188

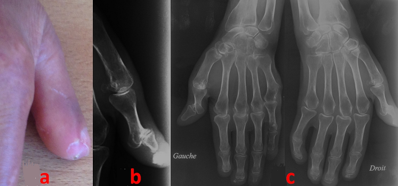
We report a case of 62-year-old Tunisian woman with a 10-year history of a CREST syndrome (systemic sclerosis meeting the criteria of the CREST syndrome of the 1980 American College of Rheumatology classification for raynaud phenomenon, esophageal dysmotility, sclerodactyly and telangiectasia). Her daughter is treated in neurology for myasthenia gravis. Our patient presents a 5-month history of increasing inflammatory right thumb pain concomitant with the discovery of a subcutaneous hard mass (A). Radiographs of her thumb showed a sub-cutaneous calcification (as another part of the CREST syndrome criteria) (B). X-rays of hands found an acro-osteolysis (C). In the CREST syndrome, the calcific deposits can be subclinical. But, when symptomatic, it becomes painful, tender and an inflammatory reaction can occur facing the calcinosis.
Corresponding author
Dhia Kaffel, Rheumatology Department, Kassab Institute, Manouba, Tunisia (dhkzero@yahoo.fr)


The Pan African Medical Journal (ISSN: 1937-8688) is a subsidiary of the Pan African Medical Journal. The contents of this journal is intended exclusively for professionals in the medical, paramedical and public health and other health sectors.

Currently tracked by: DOAJ, AIM, Google Scholar, AJOL, EBSCO, Scopus, Embase, IC, HINARI, Global Health, PubMed Central, PubMed/Medline, ESCI

Physical address: "Kenya: 3rd Floor, Park Suite Building, Parkland Road, Nairobi. PoBox 38583-00100, tel: +254 (0)20-520-4356 | Cameroon: Immeuble TechnoPark Essos, Yaounde, PoBox: 10020 Yaounde, tel: +237 (0)24-309-5880"