Ulcération cutanée: penser aux métastases

Youssef Zemmez, Badreddine Hassam

PAMJ. 2017; 28:304. Published 11 Dec 2017 | doi:10.11604/pamj.2017.28.304.13326

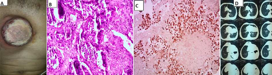
Patient de 68 ans, tabagique chronique, consultait pour une tuméfaction cutanée au niveau de la paroi thoracique antérieure évoluant depuis 05 mois, augmentant progressivement de taille, associée à une dyspnée d'effort d'aggravation progressive, évoluant dans un contexte d'altération de l'état général et d'amaigrissement chiffré à 15kg. L'examen cutanéo-muqueux objectivait Une tuméfaction cutanée mesurant 5cm sur 5cm, arrondie, bien limitée, à bordure érythémateuse et à surface ulcérée (A). L'examen des aires ganglionnaires montrait deux adénopathies axillaires bilatérales, mesurant 2cm chacune, de consistance ferme, indolores, mobiles. La biopsie cutanée montrait un profil histologique et immuno-histochimique d'un adénocarcinome compatible avec une origine pulmonaire (B et C). La TDM thoracique avait confirmé la présence d'un processus pulmonaire lingulaire gauche (D). La décision thérapeutique était de démarrer une poly-chimiothérapie à base de sel de platine et pemetrexed. L'évolution était marquée par le décès du malade après 4 mois du diagnostic de la maladie.
Corresponding author
Youssef Zemmez, Service de Dermatologie, CHU Ibn Sina Rabat, Maroc (zemmez.youssef@gmail.com)


The Pan African Medical Journal (ISSN: 1937-8688) is a subsidiary of the Pan African Medical Journal. The contents of this journal is intended exclusively for professionals in the medical, paramedical and public health and other health sectors.

Currently tracked by: DOAJ, AIM, Google Scholar, AJOL, EBSCO, Scopus, Embase, IC, HINARI, Global Health, PubMed Central, PubMed/Medline, ESCI

Physical address: "Kenya: 3rd Floor, Park Suite Building, Parkland Road, Nairobi. PoBox 38583-00100, tel: +254 (0)20-520-4356 | Cameroon: Immeuble TechnoPark Essos, Yaounde, PoBox: 10020 Yaounde, tel: +237 (0)24-309-5880"