Emphysematous cholecystitis in a young patient with no risk factors

Dimitrios Manatakis, Grigorios Tsoukalos

PAMJ. 2017; 28:269. Published 28 Nov 2017 | doi:10.11604/pamj.2017.28.269.13923

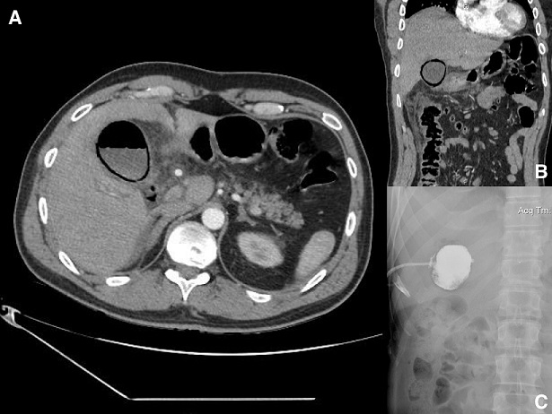
A 43-year-old, otherwise healthy, male patient presented at the emergency department, with a 3-day history of right upper quadrant abdominal pain and fever of 39°C. Physical examination revealed positive Murphy’s sign and jaundice. Laboratory values revealed leukocytosis (18,000/ml), elevated CRP and liver function tests (direct bilirubin, ALP, ³GT). Ultrasound scanning demonstrated distention of the gallbladder, with wall thickening, pericholecystic fluid and a gallstone impacted in cystic duct. The patient was empirically started on broad-spectrum antibiotics. An abdominal CT scan on the following day revealed gas in the gallbladder wall and lumen (A, B). A percutaneous cholecystostomy was placed (C) and his clinical condition improved dramatically over the following hours, with normalisation of inflammatory indices and liver chemistry. He is scheduled to undergo laparoscopic cholecystectomy in 8 weeks. Emphysematous cholecystitis usually begins as a typical case of acute cholecystitis, but ischemia and gangrene soon develop in the gallbladder wall, due to intramural translocation of gas-forming microorganisms (Clostridium, E. coli, Klebsiella, Streptococci). Predisposing factors include diabetes mellitus, immunosuppression, peripheral vascular disease, abdominal surgery and trauma. Initial assessment with ultrasound may show reverbation artifacts due to the presence of air. CT scans are considered more specific and sensitive, demonstrating a gaseous halo around the gallbladder as well as air within its lumen. Emphysematous cholecystitis is a surgical emergency. Early intervention with surgery or percutaneous cholecystostomy is the mainstay of therapy. Left untreated, it can progress to perforation, pericholecystic abscess or bile peritonitis. Mortality rate for uncomplicated emphysematous cholecystitis is 1.4%, whereas for complicated cases it can reach up to 25%.
Corresponding author
Dimitrios Manatakis, Department of Surgery, Athens Naval and Veterans Hospital, Athens, Greece (dmanatak@yahoo.gr)


The Pan African Medical Journal (ISSN: 1937-8688) is a subsidiary of the Pan African Medical Journal. The contents of this journal is intended exclusively for professionals in the medical, paramedical and public health and other health sectors.

Currently tracked by: DOAJ, AIM, Google Scholar, AJOL, EBSCO, Scopus, Embase, IC, HINARI, Global Health, PubMed Central, PubMed/Medline, ESCI

Physical address: "Kenya: 3rd Floor, Park Suite Building, Parkland Road, Nairobi. PoBox 38583-00100, tel: +254 (0)20-520-4356 | Cameroon: Immeuble TechnoPark Essos, Yaounde, PoBox: 10020 Yaounde, tel: +237 (0)24-309-5880"