Epithéliopathie rétinienne diffuse

Yassine Abaloun, Abdelhadi Omari

PAMJ. 2017; 28:182. Published 27 Oct 2017 | doi:10.11604/pamj.2017.28.182.11355

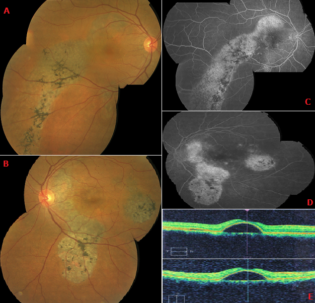
Nous rapportons le cas d’un homme de 52 ans sans ATCD consultant pour une baisse progressive de l’acuité visuelle de l’œil droit évoluant depuis 10 ans. L’acuité visuelle corrigée est de 2/10 - P6 à l’OD et de 10/10 - P2 à l’OG. L’examen du segment antérieur est sans particularité. Le FO retrouve au niveau de l’OD une altération de l’épithélium pigmentaire (AEP) associée à des migrations pigmentaires d’aspect ostéoblastique intéressant la macula et une zone étendue par coulée gravitationnelle de l’arcade temporale supérieure jusqu’au quadrant temporal inférieur. Au niveau de l’œil gauche on note un aspect similaire surtout dans la région inter papillo-maculaire (A,B). L’angiographie à la fluorescéine montre dans les 2 yeux une hyperfluorescence précoce des zones de dépigmentation de l’EP associé à des migrations pigmentaires donnant un aspect de queue de comète par coulée gravitationnelle (C,D). L’OCT montre un DEP retro-fovéolaire au niveau de l’OD (E). Le patient a été mis sous Diamox avec une surveillance régulière pour prendre en charge l’éventuelle apparition de points de fuite .L’évolution s’est faite vers une régression du DEP et une amélioration de l’AV.
Corresponding author
Yassine Abaloun, Université Mohammed V Souissi, Service d’Ophtalmologie de l’Hôpital Militaire Mohamed V, Rabat, Maroc (yassine.ophtlm@gmail.com)


The Pan African Medical Journal (ISSN: 1937-8688) is a subsidiary of the Pan African Medical Journal. The contents of this journal is intended exclusively for professionals in the medical, paramedical and public health and other health sectors.

Currently tracked by: DOAJ, AIM, Google Scholar, AJOL, EBSCO, Scopus, Embase, IC, HINARI, Global Health, PubMed Central, PubMed/Medline, ESCI

Physical address: "Kenya: 3rd Floor, Park Suite Building, Parkland Road, Nairobi. PoBox 38583-00100, tel: +254 (0)20-520-4356 | Cameroon: Immeuble TechnoPark Essos, Yaounde, PoBox: 10020 Yaounde, tel: +237 (0)24-309-5880"