Torus mandibularis

Pirabu Sakthivel, Chirom Amit Singh

PAMJ. 2017; 28:177. Published 25 Oct 2017 | doi:10.11604/pamj.2017.28.177.14038

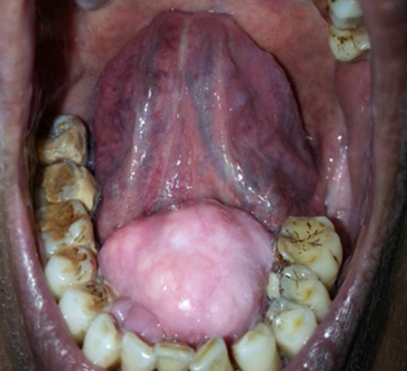
A 54-year-old man who presented to the clinic for a routine examination was found to have a hard swelling in the floor of mouth. The swelling was noticed at the age of ten years and had been gradually progressing over the years. However, there was no history of chewing difficulty, dysphagia, dysarthria, oral ulcers or sleep disturbances. On examination, a 4x4 cm bony swelling was noted arising from the lingual surface of mandible, with an intact overlying mucosa. The findings were typical of torus mandibularis, a benign bony outgrowth from the mandible which was also confirmed radiologically. About 80 to 90% of the lesions present as small, bilateral bony protrusions near the pre-molars and are incidental findings on routine oral examination. Despite the large size, our patient declined any treatment as the lesion was asymptomatic.
Corresponding author
Pirabu Sakthivel, Department of Otorhinolaryngology & Head and Neck surgery, All India Institute of Medical Sciences, New Delhi, India (pirabusakthivel@gmail.com)


The Pan African Medical Journal (ISSN: 1937-8688) is a subsidiary of the Pan African Medical Journal. The contents of this journal is intended exclusively for professionals in the medical, paramedical and public health and other health sectors.

Currently tracked by: DOAJ, AIM, Google Scholar, AJOL, EBSCO, Scopus, Embase, IC, HINARI, Global Health, PubMed Central, PubMed/Medline, ESCI

Physical address: "Kenya: 3rd Floor, Park Suite Building, Parkland Road, Nairobi. PoBox 38583-00100, tel: +254 (0)20-520-4356 | Cameroon: Immeuble TechnoPark Essos, Yaounde, PoBox: 10020 Yaounde, tel: +237 (0)24-309-5880"