Myélolipome de la surrénale: à propos d’un cas

Bouchra Rafiq, Ghizlane El Mghari

PAMJ. 2017; 28:153. Published 18 Oct 2017 | doi:10.11604/pamj.2017.28.153.13035

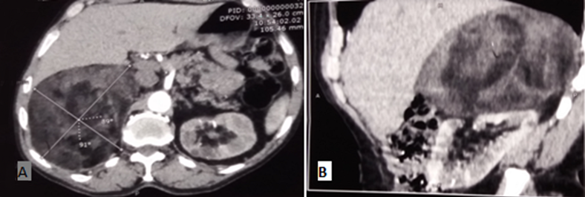
Le myélolipome surrénalien est une tumeur rare, bénigne, non sécrétante, souvent de découverte fortuite. Sa physiopathologie serait une métaplasie des cellules de la corticosurrénale en cellules réticulo-endothéliales en réponse à une infection, à un stress chronique ou à une dégénérescence de la surrénale. La moyenne d’âge de découverte est vers la cinquantaine. Histologiquement, la tumeur est constituée de tissu graisseux mâture, associé à du tissu hématopoïétique normal. Ainsi l'échogénicité de la tumeur est fonction de la prédominance de la composante graisseuse ou myéloïde. Son diagnostique est porté par le scanner qui identifie le contingent graisseux. Toutefois, ces aspects radiologiques peuvent prêter à confusion avec l'angiomyolipome du rein, le lipome et le liposarcome d'où l’intérêt de l'IRM. Habituellement respecté, l'exérèse du myélolipome est indiquée quand il est volumineux, compressif ou présentant un risque hémorragique. Nous rapportons le cas du patient AL A, 75 ans, hospitalisé pour masse surrénalienne, révélée par des lombalgies droites, irradiant vers l'hypocondre droit, sans signes d'hypersécrétion endocrine. L'examen clinique a révélé une sensibilité de la fosse lombaire droite. Le bilan de phéochromocytome et de corticosurrénalome s'est révélé sans anomalies, notamment les dérivés méthoxylés urinaires de 24heures et le freinage minute. Le patient a été opéré par cœlioscopie, avec à l'examen anatomo-pathologique un aspect de myélolipome surrénalien.
Corresponding author
Bouchra Rafiq, Service d’Endocrinologie Diabétologie Maladies Métaboliques et Nutrition, Laboratoire PCIM, FMPM, Université Cadi Ayyad, CHU Mohamed VI, Marrakech (bouchrarafiq@hotmail.fr)


The Pan African Medical Journal (ISSN: 1937-8688) is a subsidiary of the Pan African Medical Journal. The contents of this journal is intended exclusively for professionals in the medical, paramedical and public health and other health sectors.

Currently tracked by: DOAJ, AIM, Google Scholar, AJOL, EBSCO, Scopus, Embase, IC, HINARI, Global Health, PubMed Central, PubMed/Medline, ESCI

Physical address: "Kenya: 3rd Floor, Park Suite Building, Parkland Road, Nairobi. PoBox 38583-00100, tel: +254 (0)20-520-4356 | Cameroon: Immeuble TechnoPark Essos, Yaounde, PoBox: 10020 Yaounde, tel: +237 (0)24-309-5880"