Aspect clinico-électrocardiographique d'embolie pulmonaire masquant une dissection aortique révélé par l'angioscanner thoracique

Daniella Rakotoniaina Masinarivo, Jenny Larissa Rakotomanana

PAMJ. 2017; 28:3. Published 04 Sep 2017 | doi:10.11604/pamj.2017.28.3.12605

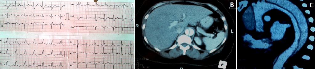
Il s'agit d'une femme de 52 ans, hypertendue, tabagique et obèse (IMC à 32,46 kg/m2), sans facteurs de risques thromboembolique évident, hospitalisée pour une douleur thoracique gauche à irradiation dorso-lombaire associée à une dyspnée. L'examen clinique à l'entré objectivait une pression artérielle gauche à 100/60 mmHg, une tachycardie à 100/min, une désaturation en oxygène à 88% à l'air ambiant, avec auscultation cardio-pulmonaire sans particularité, pouls périphériques perçus et absence de signes de phlébite des membres inférieurs. L'ECG montrait un axe droit, un aspect S1Q3, une hypertrophie ventriculaire droite et un bloc de branche complet droit (A, B, C). L'angioscanner thoracique effectué en urgence objectivait une dissection aortique allant de l'origine de l'aorte jusqu'à la bifurcation iliaque soit de type Stanford A. Notre patiente a été traité médicalement par contrôle de la pression artérielle et de la fréquence cardiaque ainsi que des antalgiques, avec une bonne évolution devant l'absence de moyen chirurgical.
Corresponding author
Daniella Rakotoniaina Masinarivo, Service USIC, CHU Joseph Raseta Befelatanana, Antananarivo, Madagascar (daniella.rakotoniaina@gmail.com)


The Pan African Medical Journal (ISSN: 1937-8688) is a subsidiary of the Pan African Medical Journal. The contents of this journal is intended exclusively for professionals in the medical, paramedical and public health and other health sectors.

Currently tracked by: DOAJ, AIM, Google Scholar, AJOL, EBSCO, Scopus, Embase, IC, HINARI, Global Health, PubMed Central, PubMed/Medline, ESCI

Physical address: "Kenya: 3rd Floor, Park Suite Building, Parkland Road, Nairobi. PoBox 38583-00100, tel: +254 (0)20-520-4356 | Cameroon: Immeuble TechnoPark Essos, Yaounde, PoBox: 10020 Yaounde, tel: +237 (0)24-309-5880"