Diagnostic antenatal d’une omphalocele au premier trimestre

Amira Ayachi, Mechaal Moural

PAMJ. 2016; 25:187. Published 24 Nov 2016 | doi:10.11604/pamj.2016.25.187.10901

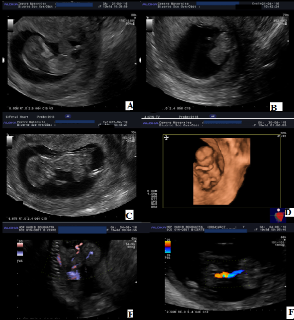
Nous illustrons à travers ce cas l'utilité du dépistage précoce des malformations fœtales au sein d'une unité de diagnostic anténatal, à travers les images d'une omphalocèle diagnostiquée au premier trimestre de la grossesse. Il s'agit d'une patiente âgée de 42 ans, G2P1, ayant fait une première échographie à 12SA+4 jrs montrant une omphalocèle (A,B,C,D). Les informations sur les différentes investigations ont été expliquées à la patiente, qui a décidé de poursuivre la grossesse. Une amniocentèse a été réalisée à 16 SA en vue d'un caryotype. La patiente reconsulte à 19 SA pour réévaluation échographique et interprétation des résultats du caryotype. L'échographie a montré une omphalocèle mesurant 4cm de diamètre, avec un collet à 14,3 mm, contenant le foie et l'estomac (E,F). Le résultat du caryotype révélait une trisomie 18. Une interruption médicalisée de la grossesse a été demandée par la patiente.
Corresponding author
Amira Ayachi, Service de Gynécologie et Obstétrique,CHU Bougatfa, Bizerte, Université Tunis El Manar,Tunisie (benmrad.amira@yahoo.fr)


The Pan African Medical Journal (ISSN: 1937-8688) is a subsidiary of the Pan African Medical Journal. The contents of this journal is intended exclusively for professionals in the medical, paramedical and public health and other health sectors.

Currently tracked by: DOAJ, AIM, Google Scholar, AJOL, EBSCO, Scopus, Embase, IC, HINARI, Global Health, PubMed Central, PubMed/Medline, ESCI

Physical address: "Kenya: 3rd Floor, Park Suite Building, Parkland Road, Nairobi. PoBox 38583-00100, tel: +254 (0)20-520-4356 | Cameroon: Immeuble TechnoPark Essos, Yaounde, PoBox: 10020 Yaounde, tel: +237 (0)24-309-5880"