Eviscération utero cutanée des suites opératoires d’un myome utérin

Traore Abdoulaye Ababacar, Alaoui Lamrani Youssef

PAMJ. 2016; 25:137. Published 04 Nov 2016 | doi:10.11604/pamj.2016.25.137.10362

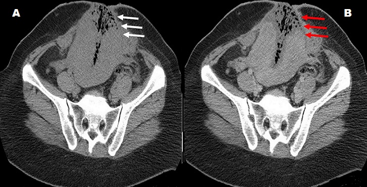
Il s’agit d’une patiente de 42 ans, deuxième geste, deuxième parité, admise pour prise en charge d’un myome utérin interstitiel. Les suites opératoires ont été marquées par une infection cutanée associée à une éventration utérine. A l’examen, la patiente était fébrile à 39.5°C, associée à une éviscération de l’utérus avec issu de pus verdâtre à travers le site opératoire. Le bilan biologique réalisé montrait un taux d’hémoglobine à 12g/dl, une hyperleucocytose à polynucléaire neutrophile 15000/uL et la C Réactive Protéine à 320 mg/l. Ces résultats ont conduit à la réalisation d’un complément TDM qui a montré une fistule utero-pariétale avec une éviscération utérine, sans complication digestive associée. L’utérus était également disroté avec un contenu hydro-aérique, faiblement rehaussé en périphérie après contraste, confirmant une surinfection associée. La prise en charge chirurgicale a été effectuée avec curetage de la cavité utérine à travers la brèche de perforation qui a été par la suite suturée. Ce cas met en exergue une complication rare de perforation utérine dans les suites opératoires d’une myomectomie utérine.
Corresponding author
Ababacar Abdoulaye Traore, Faculté de Médecine et de Pharamacie, Université Sidi Mohamed Ben Abdellah, Service de Radiologie, CHU Hanssan II, Fès, Maroc (traoreababacara@yahoo.fr)


The Pan African Medical Journal (ISSN: 1937-8688) is a subsidiary of the Pan African Medical Journal. The contents of this journal is intended exclusively for professionals in the medical, paramedical and public health and other health sectors.

Currently tracked by: DOAJ, AIM, Google Scholar, AJOL, EBSCO, Scopus, Embase, IC, HINARI, Global Health, PubMed Central, PubMed/Medline, ESCI

Physical address: "Kenya: 3rd Floor, Park Suite Building, Parkland Road, Nairobi. PoBox 38583-00100, tel: +254 (0)20-520-4356 | Cameroon: Immeuble TechnoPark Essos, Yaounde, PoBox: 10020 Yaounde, tel: +237 (0)24-309-5880"