Tuberculome à localisation inhabituelle: noyau caudé

Maha Ait berri, Abdelhadi Rouimi

PAMJ. 2016; 25:25. Published 27 Sep 2016 | doi:10.11604/pamj.2016.25.25.10446

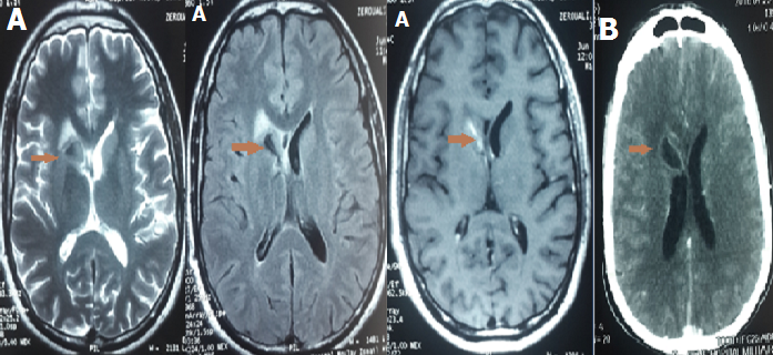
Nous rapportons l’observation d’un patient de 30 ans qui a présenté un syndrome méningé fébrile. L’examen du LCR retrouvait une méningite lymphocytaire à 400 éléments blancs avec hypoglucorachie évoquant une méningite tuberculeuse. Une imagerie cérébrale (TDM puis IRM) (A, B) a été réalisée. Elle révéla la présence d’un tuberculome cérébral localisé au niveau du noyau caudé. Le patient a été mis sous traitement anti-bacillaire avec bonne évolution. Les tuberculomes constituent une complication rare des atteintes tuberculeuses du SNC. Leur siège de prédilection est la jonction substance blanche-grise. Leur diagnostic repose sur l’imagerie. Ils peuvent être uniques ou multiples. Au scanner, ils se traduisent par une image arrondie ou ovalaire hypodense ou isodense, avec rehaussement rapide après injection du produit de contraste. Il peut exister un renforcement périphérique en anneau réalisant l’aspect classique en cocarde. En imagerie par résonnance magnétique, les tuberculomes et l’œdème périlésionnel sont hypointenses au parenchyme cérébral en séquence T1. L’injection de gadolinium retrouve l’aspect de rehaussement annulaire classique en TDM. En T2, ils se traduisent par un signal hypo-intense avec plusieurs hypersignaux punctiformes à l’intérieur de la lésion et une zone pérphérique irrégulière d’hypersignal correspondant à l’œdème. L’IRM est l’examen de choix pour le diagnostic des tuberculomes cérébraux. Elle permet surtout par rapport à la TDM d’apprécier l’extension et les différentes composantes de la lésion (centre nécrotique, capsule et œdème péri-lésionnel).
Corresponding author
Maha Ait berri, Service de Neurologie, Hôpital Militaire Moulay Ismail, Meknès, Maroc (mahaaitberri82@gmail.com)


The Pan African Medical Journal (ISSN: 1937-8688) is a subsidiary of the Pan African Medical Journal. The contents of this journal is intended exclusively for professionals in the medical, paramedical and public health and other health sectors.

Currently tracked by: DOAJ, AIM, Google Scholar, AJOL, EBSCO, Scopus, Embase, IC, HINARI, Global Health, PubMed Central, PubMed/Medline, ESCI

Physical address: "Kenya: 3rd Floor, Park Suite Building, Parkland Road, Nairobi. PoBox 38583-00100, tel: +254 (0)20-520-4356 | Cameroon: Immeuble TechnoPark Essos, Yaounde, PoBox: 10020 Yaounde, tel: +237 (0)24-309-5880"