Cerebral tuberculoma: an entity not to ignore

Samia Frioui, Sonia Jemni

PAMJ. 2016; 24:133. Published 10 Jun 2016 | doi:10.11604/pamj.2016.24.133.9484

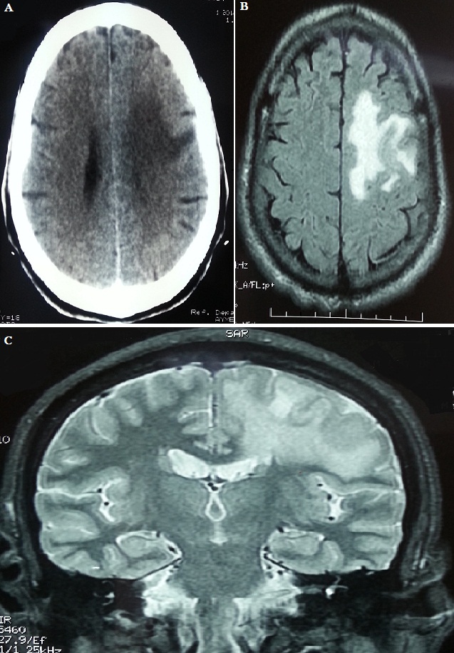
Cerebral tuberculomas are a rare and serious form of tuberculosis due to the haematogenous spread of Mycobacterium Tuberculosis. Symptoms and radiologic features are nonspecific, leading sometimes to misdiagnosis. We report the case of a 60-year-old male, with a history of diffuse bilateral infiltrative pulmonary disease at the stage of fibrosis, he made two generalized seizures associated with occipital headaches. CT scan showed a left frontal tumor, calcified lesion with edema around it. The patient was put under Depakine and corticosteroids. The evolution is marked by the occurrence of new seizures associated with heaviness of the right arm. Brain MRI showed a left posterior peripheral frontal meningioma with intralesional bleeding and significant edema around it with mass effect on the ipsilateral lateral ventricle. The patient was operated and the tumor was removed. In postoperative there was a Broca's aphasia with right hemiplegia. Pathological anatomical examination of the surgical specimen found a cerebromeningeal Granuloma with caseous necrosis in its pseudo tumor presentation (tuberculoma). The thoraco abdominal scan did not show any other tuberculosis lesions. The patient started antituberculosis treatment with 4 drugs (HRZE) for 2 months, followed by maintenance therapy (HR).The evolution was marked by the persistence of a right hemiplegia with Broca's aphasia. The patient was brought out in a wheelchair with functional rehabilitation sessions.
Corresponding author
Samia Frioui, Physical Medicine and Rehabilitation department, Sahloul hospital, Sousse, Tunisia (soumaf1975@yahoo.fr)


The Pan African Medical Journal (ISSN: 1937-8688) is a subsidiary of the Pan African Medical Journal. The contents of this journal is intended exclusively for professionals in the medical, paramedical and public health and other health sectors.

Currently tracked by: DOAJ, AIM, Google Scholar, AJOL, EBSCO, Scopus, Embase, IC, HINARI, Global Health, PubMed Central, PubMed/Medline, ESCI

Physical address: "Kenya: 3rd Floor, Park Suite Building, Parkland Road, Nairobi. PoBox 38583-00100, tel: +254 (0)20-520-4356 | Cameroon: Immeuble TechnoPark Essos, Yaounde, PoBox: 10020 Yaounde, tel: +237 (0)24-309-5880"