Hiatal hernia

Ebaa Samkari, Meshari Alshalawi

PAMJ. 2016; 24:40. Published 10 May 2016 | doi:10.11604/pamj.2016.24.40.9037

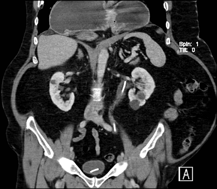
61 years old known case of bronchial asthma, chronic pancreatitis, presented with postprandial epigastric campy abdominal pain and vomiting for one month no history of trauma. Initial evaluation revealed paraesophageal hernia. EGD finding is grade II esophagitis with modular mucosa and superficial ulceration, Distal part of the funds, body and the Antrim were rolled back into thoracic cavity. Abdominal computed tomography (CT) showed undulating diaphragm and large complex hiatal hernia. The cardia is above the diaphragm. The entire stomach is in the chest, paraesophageal, right and left to esophagus. The patient is symptomatic and surgery done for him.
Corresponding author
Ebaa Samkari, Umm Al Qura University, Makkah, Saudi Arabia (ebaa1@hotmail.com)


The Pan African Medical Journal (ISSN: 1937-8688) is a subsidiary of the Pan African Medical Journal. The contents of this journal is intended exclusively for professionals in the medical, paramedical and public health and other health sectors.

Currently tracked by: DOAJ, AIM, Google Scholar, AJOL, EBSCO, Scopus, Embase, IC, HINARI, Global Health, PubMed Central, PubMed/Medline, ESCI

Physical address: "Kenya: 3rd Floor, Park Suite Building, Parkland Road, Nairobi. PoBox 38583-00100, tel: +254 (0)20-520-4356 | Cameroon: Immeuble TechnoPark Essos, Yaounde, PoBox: 10020 Yaounde, tel: +237 (0)24-309-5880"