Lithiase du Wirsung: entité rare des étiologies d’épigastralgie

Ahmed Zerhouni, Khalid Mazaz

PAMJ. 2016; 23:184. Published 14 Apr 2016 | doi:10.11604/pamj.2016.23.184.9145

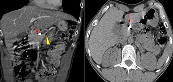
Les calculs pancréatiques sont le plus souvent mis en évidence chez les malades atteints de pancréatite chronique. En l'absence de PC, ils peuvent être observés en amont d'une tumeur, ou d'une sténose canalaire. Ils peuvent être associés à une augmentation du diamètre du canal de Wirsung et à une sclérose irrégulière de la glande associée à une perte du tissu acineux, remplacé par du tissu graisseux. Nous rapportons l'observation d'un patient de 43 ans chez lequel des epigastralgies ont conduit à la découverte d'un énorme calcul unique, calcifié et obstructif du canal de Wirsung avec pancréatite chronique d'amont. Les investigations complémentaires ont permis de confirmer le caractère apparemment primitif de la lithiase. Un homme âgé de 43 ans consultait aux urgences pour des douleurs épigastriques atypiques évoluant depuis 3 mois. Il n'existait pas d'antécédents personnel ni familiaux de maladie du pancréas notamment pas de notion d'alcoolisme. L'examen clinique était normal. La numération formule sanguine, l'ionogramme sanguin, le bilan hépatique, l'électrophorèse des protéines, le dosage de la CRP, la parathormone, l'amylasémie, la lipasémie, la calcémie et la phosphorémie étaient normaux. La tomodensitométrie abdominale a permis de mettre en évidence un calcul unique dans le canal de Wirsung à la jonction isthmo-corporéale mesurant 6 mm. Le parenchyme pancréatique était atrophié. La vésicule et la voie biliaire principale étaient normales. L'opacification rétrograde du Wirsung, a permis d'affirmer l'absence de pancréas divisum ou d'une autre malformation canalaire pancréatique permettant ainsi l'extraction du calcul après cathétérisme du Wirsung avec une bonne évolution post CPRE.
Corresponding author
Ahmed Zerhouni, Service de CHB CHU Hassan II, Fès, Maroc (zerhouni1906@gmail.com)


The Pan African Medical Journal (ISSN: 1937-8688) is a subsidiary of the Pan African Medical Journal. The contents of this journal is intended exclusively for professionals in the medical, paramedical and public health and other health sectors.

Currently tracked by: DOAJ, AIM, Google Scholar, AJOL, EBSCO, Scopus, Embase, IC, HINARI, Global Health, PubMed Central, PubMed/Medline, ESCI

Physical address: "Kenya: 3rd Floor, Park Suite Building, Parkland Road, Nairobi. PoBox 38583-00100, tel: +254 (0)20-520-4356 | Cameroon: Immeuble TechnoPark Essos, Yaounde, PoBox: 10020 Yaounde, tel: +237 (0)24-309-5880"