Fundus albipunctatus

Rajaa Elhannati, Hicham Tahri

PAMJ. 2016; 23:61. Published 29 Feb 2016 | doi:10.11604/pamj.2016.23.61.8562

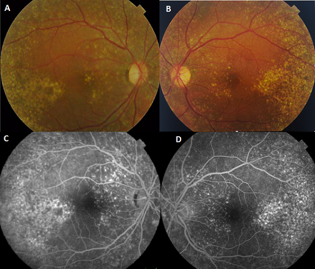
Fundus albipunctatus is a recessive auto somal disease. It is a rare form of apparently stationary night blindness characterized by the presence of myriad symmetrical round white dots in the fundus with a greater concentration in the midperiphery. The fundus shows a multitude of subtle, tiny yellow-white spots at the posterior pole, sparing the fovea and extending to the periphery (A et B). The retinal blood vessels, optic disc, peripheral fields and visuel acuity remain normal. Fluoresce in angiography shows mottled hyperfluorescence exceptat the fovea (C et D). Differential diagnosis are the retinitis punctat a albescens and the Oguchi disease. No effective treatment is available to restore full receptor cell function however, high oral doses of beta-carotenemay lead to an improvement in night blindness.
Corresponding author
Rajaa Elhannati, Service d’Ophtalmologie, CHU Hassan II, Fès, Maroc (medraja01@hotmail.com)


The Pan African Medical Journal (ISSN: 1937-8688) is a subsidiary of the Pan African Medical Journal. The contents of this journal is intended exclusively for professionals in the medical, paramedical and public health and other health sectors.

Currently tracked by: DOAJ, AIM, Google Scholar, AJOL, EBSCO, Scopus, Embase, IC, HINARI, Global Health, PubMed Central, PubMed/Medline, ESCI

Physical address: "Kenya: 3rd Floor, Park Suite Building, Parkland Road, Nairobi. PoBox 38583-00100, tel: +254 (0)20-520-4356 | Cameroon: Immeuble TechnoPark Essos, Yaounde, PoBox: 10020 Yaounde, tel: +237 (0)24-309-5880"