Rupture bilatérale du ligament croisé antérieur chez un joueur de ski traitée par une ligamentoplastie DIDT sous arthroscopie en un seul temps opératoire

Adil El Alaoui, Ilyas Rabhi

PAMJ. 2016; 23:37. Published 10 Feb 2016 | doi:10.11604/pamj.2016.23.37.8324

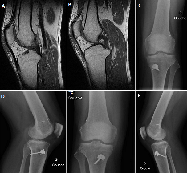
Un patient de 25 ans, victime d'un accident de ski (chute les 2 genoux en valgus flexion rotation externe) occasionnant chez lui une entorse grave des 2 genoux. Le patient a bénéficié d'une immobilisation par des genouillères plâtrées et revu à la consultation après 1 mois. Après 12 séances de rééducation on a noté une bonne évolution sur le plan de la douleur, en revanche le patient garde une instabilité avec sensation de dérobement à la marche et un signe de Trillat Lachman positif au niveau des 2 genoux, d'où l'intérêt de réaliser une IRM des genoux qui a confirmé une rupture bilatérale du ligament croisé antérieur (A, B). Nous avons réalisé une ligamentoplastie du LCA par la technique de DIDT au niveau des 2 genoux en un seul temps opératoire en commençant par le côté gauche. Les suites post-opératoires étaient simples, les radiographies de contrôles face et profil des 2 genoux ont montré un bon positionnement des implants (C, D) et une rééducation a été entreprise le lendemain de l'intervention. La reprise de l'activité sportive était sans problème au 6éme mois.
Corresponding author
Adil El Alaoui, Service de Chirurgie Orthopédique du Centre Hospitalier de Chambéry, Chambéry, France (adilelalaoui007@gmail.com)


The Pan African Medical Journal (ISSN: 1937-8688) is a subsidiary of the Pan African Medical Journal. The contents of this journal is intended exclusively for professionals in the medical, paramedical and public health and other health sectors.

Currently tracked by: DOAJ, AIM, Google Scholar, AJOL, EBSCO, Scopus, Embase, IC, HINARI, Global Health, PubMed Central, PubMed/Medline, ESCI

Physical address: "Kenya: 3rd Floor, Park Suite Building, Parkland Road, Nairobi. PoBox 38583-00100, tel: +254 (0)20-520-4356 | Cameroon: Immeuble TechnoPark Essos, Yaounde, PoBox: 10020 Yaounde, tel: +237 (0)24-309-5880"