Brain metastasis from male breast cancer treated 12 years ago

Tariq Namad, Rachid Ammor

PAMJ. 2016; 23:31. Published 06 Feb 2016 | doi:10.11604/pamj.2016.23.31.8665

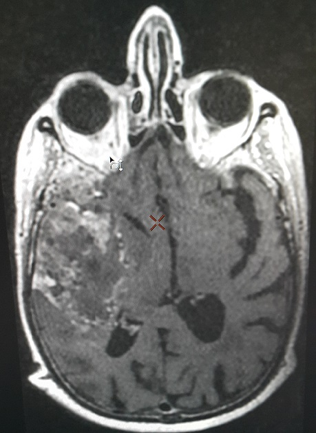
Male breast cancer is an uncommon disease that has been the focus of limited researches. Its etiology is unclear, but hormonal levels may play a role in the development of this disease. Our case is a 84 year old patient treated for breast cancer 12 years ago, it was an infiltrating ductal carcinoma classified pT2 N0 M0 with hormone receptor positive (HR +), treated with surgery, adjuvant chemotherapy, radiation therapy and 5 years of endocrinotherapy (tamoxifen 20mg 1 tablet daily continuously). Clinical control of our patient was normal within 11 years and 10 months. A month ago, the patient had headache and vomiting complicated by the sudden onset of left hemiplegia. The brain MRI showed a huge right temporal process with a shift of the midline structures (figure). A biopsy was also performed and demonstrated a cerebral relapsed breast primitive with the same disease profile (HR positive and HER2 negative). Brain metastases traditionally occur in 10-16% of metastatic breast cancer patients and are associated with a bad prognosis. The development of brain metastases has been associated with young age, and tumors that are estrogen receptor negative, HER2 positive or of the basal phenotype. However, we can also have brain metastases of a primary breast cancer in elderly patients even with pathological and immunohistochemistry different profiles regardless of gender.
Corresponding author
Tariq Namad, Neurosurgery, Military Hospital My Ismail, Meknes, Morocco (ammorrachid@gmail.com)


The Pan African Medical Journal (ISSN: 1937-8688) is a subsidiary of the Pan African Medical Journal. The contents of this journal is intended exclusively for professionals in the medical, paramedical and public health and other health sectors.

Currently tracked by: DOAJ, AIM, Google Scholar, AJOL, EBSCO, Scopus, Embase, IC, HINARI, Global Health, PubMed Central, PubMed/Medline, ESCI

Physical address: "Kenya: 3rd Floor, Park Suite Building, Parkland Road, Nairobi. PoBox 38583-00100, tel: +254 (0)20-520-4356 | Cameroon: Immeuble TechnoPark Essos, Yaounde, PoBox: 10020 Yaounde, tel: +237 (0)24-309-5880"