Collection kystique retro péritonéal révélant un énorme urinome

Anouar El Ghazoui, Amine Slaoui

PAMJ. 2016; 23:7. Published 20 Jan 2016 | doi:10.11604/pamj.2016.23.7.8638

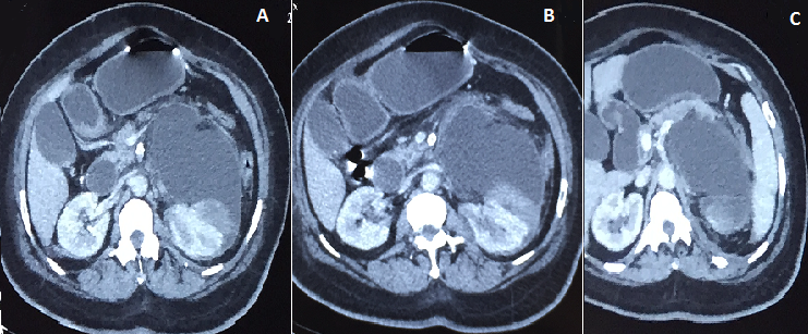
Madame RF âgée de 50 ans, diabétique sous insuline mal suivie compliquée d'une neuropathie optique au stade de pré-cécité, avec une artériopathie oblitérante du membre inferieure . La patiente consultait pour les lombalgies. A l'examen clinique on retrouve une patiente apyrétique, présentant un contact lombaire. La bandelette urinaire était négative. Le bilan biologique était correct, la sérologie hydatique était négative. Sur le plan radiologique, l'échographie abdominale mettait en évidence une énorme masse liquidienne rétro-péritonéale gauche refoulant le rein gauche vers l'arrière. L'Uro-scanner retrouvait une masse kystique de 18 cm, rétro péritonéale et occupant la quasi-totalité de cet espace. Sur les coupes coronales, elle refoulait vers l'avant le péritoine. Par ailleurs, l'absence de dilatation des voies excrétrices nous permet d'évoquer les hypothèses suivantes: une rupture de fornix, une duplicité rénale ou un lymphangiome kystique. Enfin l'Uretero-pyelographie rétrograde a permis de trancher pour un urinome, car elle a mis en exergue l'extravasation du PC. En ce qui concerne la pris en charge, une sonde JJ a été laissée en place jusqu'à assèchement de la collection.
Corresponding author
Anouar El Ghazoui, Service dÂ’Urologie B, CHU Ibn Sina, Rabat, Maroc (medecin-urob@live.fr)


The Pan African Medical Journal (ISSN: 1937-8688) is a subsidiary of the Pan African Medical Journal. The contents of this journal is intended exclusively for professionals in the medical, paramedical and public health and other health sectors.

Currently tracked by: DOAJ, AIM, Google Scholar, AJOL, EBSCO, Scopus, Embase, IC, HINARI, Global Health, PubMed Central, PubMed/Medline, ESCI

Physical address: "Kenya: 3rd Floor, Park Suite Building, Parkland Road, Nairobi. PoBox 38583-00100, tel: +254 (0)20-520-4356 | Cameroon: Immeuble TechnoPark Essos, Yaounde, PoBox: 10020 Yaounde, tel: +237 (0)24-309-5880"