Histiocytose langerhansienne cérébrale

Assou Ajja, Rachid Ammor

PAMJ. 2015; 22:345. Published 10 Dec 2015 | doi:10.11604/pamj.2015.22.345.8401

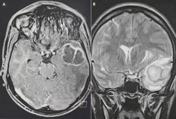
Un patient de 19 ans, sans antécédents particuliers, admis pour des crises convulsives généralisées depuis un mois. L'examen clinique initial était sans particularités. L'IRM cérébraux a objectivé deux lésions temporales gauches intra axiales à double composante kystique et charnue avec prise de contraste intense en périphérie. Le patient a bénéficié d'une exérèse tumorale à visée diagnostique et thérapeutique. L'examen anatomopathologique a posé le diagnostic d'une histiocytose cérébrale. Le bilan d'extension de la maladie comportant notamment une scintigraphie osseuse, un scanner thoraco-abdomino-pelvien était sans particularité. L'histiocytose langerhansienne est une pathologie à développement multi viscéral potentiel liée à la prolifération et à l'accumulation au sein de certains tissus de cellules de langerhans. Son diagnostic est anatomopathologique reposant sur la mise en évidence par immun histochimie de l'expression cellulaire de la protéine S100 et l'antigène CD1a, et la présence de granules de Birbeck en microscopie électronique. Cette pathologie atteint préférentiellement l'os, la peau, les poumons, le foie ou encore le sang. La localisation cérébrale reste exceptionnelle.
Corresponding author
Rachid Ammor, Neurosurgery, Military Hospital My Ismail, Meknes, Morocco (ammorrachid@gmail.com)


The Pan African Medical Journal (ISSN: 1937-8688) is a subsidiary of the Pan African Medical Journal. The contents of this journal is intended exclusively for professionals in the medical, paramedical and public health and other health sectors.

Currently tracked by: DOAJ, AIM, Google Scholar, AJOL, EBSCO, Scopus, Embase, IC, HINARI, Global Health, PubMed Central, PubMed/Medline, ESCI

Physical address: "Kenya: 3rd Floor, Park Suite Building, Parkland Road, Nairobi. PoBox 38583-00100, tel: +254 (0)20-520-4356 | Cameroon: Immeuble TechnoPark Essos, Yaounde, PoBox: 10020 Yaounde, tel: +237 (0)24-309-5880"