Mediastinal and peripheral lymphadenopathy

Khaoula Elatiqi, Najiba Yassine

PAMJ. 2015; 22:332. Published 03 Dec 2015 | doi:10.11604/pamj.2015.22.332.7350

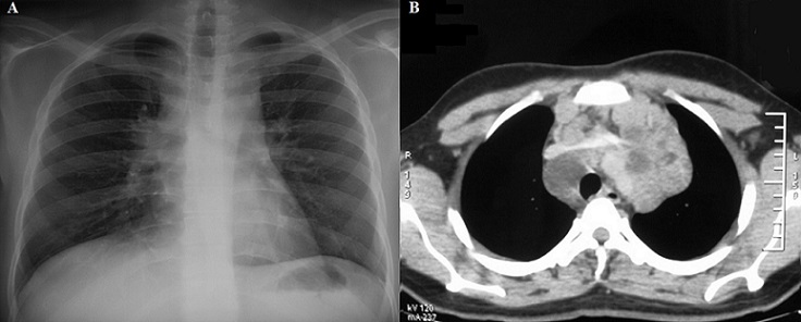
A 32-year-old man, with no history of cigarette smoking, had four weeks history of non productive cough, chest pain and myalgias. Physical examination revealed a painless bilateral cervical lymphadenopathy, the respiratory examination was normal. Chest radiography showed an enlarged upper and middle mediastinum (A). Computed tomography (CT) of the thorax showed a large and non homogeneous mass in the anterior and middle mediastinum and a small pericardial effusion, with displacement of vascular structures (B). Laboratory analysis revealed an elevated lactate dehydrogenase level of 690 IU per liter. The exicional biopsy of the left cervical lymph node revealed a caseating and necrotizing granulomatous lesions and confirmed a diagnosis of lymph node tuberculosis. The biopsy of the right cervical lymph node established a B-cell non-Hodgkin lymphoma, and so a rare association with tuberculosis. The patient received anti-tuberculosis therapy. The regimen was based on two months of ethambutol, rifampicin, pyrazinamide and isoniazid, followed by four months of rifampicin and isoniazid. He received also chemotherapy with cyclophosphamide, adriamycin, vincristine and prednisolone. The patient presented, two months later with clinical and radiographic improvement.
Corresponding author
khaoula Elatiqi, Department of Respiratory diseases, Ibn roshd University Hospital, Casablanca, Morocco (khaoulaelatiqi@hotmail.com)


The Pan African Medical Journal (ISSN: 1937-8688) is a subsidiary of the Pan African Medical Journal. The contents of this journal is intended exclusively for professionals in the medical, paramedical and public health and other health sectors.

Currently tracked by: DOAJ, AIM, Google Scholar, AJOL, EBSCO, Scopus, Embase, IC, HINARI, Global Health, PubMed Central, PubMed/Medline, ESCI

Physical address: "Kenya: 3rd Floor, Park Suite Building, Parkland Road, Nairobi. PoBox 38583-00100, tel: +254 (0)20-520-4356 | Cameroon: Immeuble TechnoPark Essos, Yaounde, PoBox: 10020 Yaounde, tel: +237 (0)24-309-5880"