Sarcome d’Ewing de localisation pétreuse

Rim Lahiani, Madiha Mahfoudhi

PAMJ. 2015; 22:260. Published 19 Nov 2015 | doi:10.11604/pamj.2015.22.260.8223

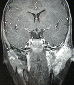
Le sarcome d'Ewing est une tumeur osseuse agressive, rapidement évolutive et métastatique. La localisation pétreuse est rare. Elle présente des difficultés diagnostiques et thérapeutiques. La prise en charge doit être multidisciplinaire. Le meilleur traitement reste chirurgical au prix de séquelles fonctionnelles et esthétiques. L'avènement de nouvelles molécules de chimiothérapie a amélioré le pronostic. Garçon âgé de 16 mois, sans antécédentsparticuliers a présenté une otorragie spontanée gauche. L'examen physique a révélé une formation charnue, saignante, non battante, comblant le conduit auditif externe gauche. Le patient n'avait pas de paralysie faciale ni d'adénopathies cervicales palpables. La TDM des rochersa révélé un processus tissulaire du conduit auditif externe gauche, étendu à l'oreille moyenne avec lyse du mur de la logette et de l'os temporal. L'IRM des rochers a montré le même processus avec envahissement de la parotide gauche, en hyposignal T1, se réhaussant après injection de gadolinium. L'examen anatomo-pathologique d'une biopsie osseuse a confirmé le diagnostic d'un sarcome d'Ewing. Le bilan d'extension n'a pas retrouvé de métastases. La chimiothérapie d'induction (6 cures de Vincristine, Ifosfamide, Doxorubicine et Etoposide) a permis une réduction tumorale de plus que 80%. Une intervention chirurgicale a consisté en une pétrectomie gauche, parotidectomie exo-faciale conservatrice et un curage triangulaire. L'examen histologique a confirmé un sarcome d'Ewing avec des limites de résection saines. Une chimiothérapie post-opératoire de 6 cures de VAI (Vincristine, Actinomycine, Ifosfamide) a été instaurée. Une rémission clinique et radiologique était notée avec un recul d'un an.
Corresponding author
Rim Lahiani, Service d’ORL, Hôpital Charles Nicolle, Tunis, Tunisie (riim_lahiani@yahoo.fr)


The Pan African Medical Journal (ISSN: 1937-8688) is a subsidiary of the Pan African Medical Journal. The contents of this journal is intended exclusively for professionals in the medical, paramedical and public health and other health sectors.

Currently tracked by: DOAJ, AIM, Google Scholar, AJOL, EBSCO, Scopus, Embase, IC, HINARI, Global Health, PubMed Central, PubMed/Medline, ESCI

Physical address: "Kenya: 3rd Floor, Park Suite Building, Parkland Road, Nairobi. PoBox 38583-00100, tel: +254 (0)20-520-4356 | Cameroon: Immeuble TechnoPark Essos, Yaounde, PoBox: 10020 Yaounde, tel: +237 (0)24-309-5880"