Lymphome B diffus à grandes cellules du sinus éthmoïdal

Rim Lahiani, Madiha Mahfoudhi

PAMJ. 2015; 22:236. Published 12 Nov 2015 | doi:10.11604/pamj.2015.22.236.8228

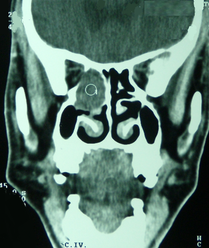
Le lymphome diffus à grandes cellules est un lymphome malin non hodgkinien qui atteint rarement le sinus éthmoïdal. Le pronostic dépend du stade de découverte, de la rapidité du diagnostic et de la prise en charge thérapeutique. Patiente âgée de 64 ans a été admise pour exploration d'une céphalée récente associée à des douleurs oculaires gauches évoluant depuis un mois sans flou visuel ni baisse de l'acuité visuelle. L'examen physique n'a pas révélé de fièvre ni d'adénopathies périphériques. L'endoscopie nasale a trouvé une tumeur du sinus éthmoïdal gaucheinfiltrant la cavité nasale homolatérale. La TDM du massif facial a révélé une formation éthmoïdale gauche de densité tissulaire de 3 cm de grand axe avec amincissement de la paroi interne de l'orbite gauche. L'examen anatomo-pathologique d'une biopsie réalisée à travers la cavité nasale a montré des infiltrats diffus de grands lymphocytes atypiques avec des noyaux hyperchromatiques. L'étude immuno-histochimique a confirmé le diagnostic d'un lymphome Bdiffus à grandes cellules du sinus éthmoïdal. Le bilan d'extension du lymphome était négatif. Le traitement s'est basé sur une radiothérapie couplée à une chimiothérapie. L'évolution était marquée par l'absence d'extension ou de métastases avec un recul de 5 mois.
Corresponding author
Rim Lahiani, Service d’ORL, Hôpital Charles Nicolle, Tunis, Tunisie (riim_lahiani@yahoo.fr)


The Pan African Medical Journal (ISSN: 1937-8688) is a subsidiary of the Pan African Medical Journal. The contents of this journal is intended exclusively for professionals in the medical, paramedical and public health and other health sectors.

Currently tracked by: DOAJ, AIM, Google Scholar, AJOL, EBSCO, Scopus, Embase, IC, HINARI, Global Health, PubMed Central, PubMed/Medline, ESCI

Physical address: "Kenya: 3rd Floor, Park Suite Building, Parkland Road, Nairobi. PoBox 38583-00100, tel: +254 (0)20-520-4356 | Cameroon: Immeuble TechnoPark Essos, Yaounde, PoBox: 10020 Yaounde, tel: +237 (0)24-309-5880"