Fibrosarcome naso-sinusien

Madiha Mahfoudhi, Rim Lahiani

PAMJ. 2015; 22:172. Published 21 Oct 2015 | doi:10.11604/pamj.2015.22.172.8124

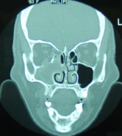
Le fibrosarcome naso-sinusien est une tumeur maligne rare. Il se manifeste le plus souvent par une obstruction nasale et une épistaxis ou une cacosmie. Seuls les examens anatomo-pathologiques et immuno-histochimique permettent de confirmer le diagnostic. Le pronostic est péjoratif en cas de retard diagnostique. Patient âgé de 52 ans a consulté pour une obstruction nasale droite, une épistaxis récidivante et une altération de l'état général évoluant depuis deux mois et une douleur orbitaire. L'examen biologique a trouvé un discret syndrome inflammatoire et une anémie hypochrome microcytaire ferriprive avec hémoglobine à 10,5 g/dl. La TDM du massif facial a révélé une tumeur comblant le sinus maxillaire droit, d'aspect isodense avec rehaussement en cadre du sinus après injection du produit de contraste. Il a aussi objectivé une lyse de la paroi médiale du sinus maxillaire droit, du cornet moyen, du plancher orbitaire et de la lame papyracée avec extension du processus en extraconal. Plusieurs diagnostics ont été suspectés en particuliers un lymphome, une néoplasie ou une aspergillose. Il a bénéficié d'une exérèse totale de la tumeur à la fois par voie endoscopique et chirurgicale. Les examens anatomo-pathologiques et immuno-histochimique ont confirmé le diagnostic de fibrosarcome naso-sinusien. Le bilan d'extension était négatif. Le traitement a été complété par une radiothérapie adjuvante. L'évolution était marquée par l'absence de récidive ou de métastase avec un recul d'un an.
Corresponding author
Madiha Mahfoudhi, Service de Médecine Interne A, Hôpital Charles Nicolle, Tunis, Tunisie (madiha_mahfoudhi@yahoo.fr)


The Pan African Medical Journal (ISSN: 1937-8688) is a subsidiary of the Pan African Medical Journal. The contents of this journal is intended exclusively for professionals in the medical, paramedical and public health and other health sectors.

Currently tracked by: DOAJ, AIM, Google Scholar, AJOL, EBSCO, Scopus, Embase, IC, HINARI, Global Health, PubMed Central, PubMed/Medline, ESCI

Physical address: "Kenya: 3rd Floor, Park Suite Building, Parkland Road, Nairobi. PoBox 38583-00100, tel: +254 (0)20-520-4356 | Cameroon: Immeuble TechnoPark Essos, Yaounde, PoBox: 10020 Yaounde, tel: +237 (0)24-309-5880"