Recurrent spontaneous intracerebral hemorrhage associated with polyglobulia

Salami Mohcine, El Mostarchid Brahim

PAMJ. 2015; 22:128. Published 13 Oct 2015 | doi:10.11604/pamj.2015.22.128.6486

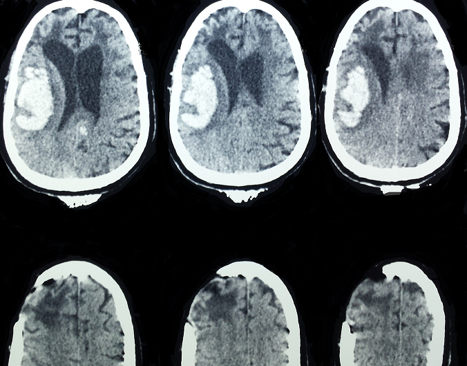
Spontaneous intracerebral hemorrhage (ICH) accounts for 15% of stroke cases in the US and Europe and up to 30% in Asian populations. Intracerebral hemorrhage is a relatively uncommon form of stroke-it causes only 10 to 15 percent of all strokes. It is more disabling and has a higher mortality rate than ischemic stroke, and it can occur at any age. It is slightly more common in men than in women. Its etiologies are dominated by hypertension, arteriovenous malformation, aneurysmal rupture, cerebral amyloid angiopathy, intracranial neoplasm and coagulopathy. We report the first case to date of spontaneous intracerebral hemorrhage associated with polyglobulia. A 56-years-old man, with history of polyglobulia and spontaneous intracerebral hemorrhage treated surgically in 2011, was admitted to the emergency service with the complaint of headache, disturbance of consciousness. Clinical examination is estimated GCS 13/15 and 2/5 left hemiparesis. An emergency CT-scan revealed a recurrent parieto-temporal hematoma, sequelar frontal hypodensity of the old stroke with its cranial flap.
Corresponding author
Salami Mohcine, Service de Neurochirurgie de l’Hôpital Militaire d’Instruction Mohammed V, Rabat, Maroc (mohcinesalami2010@gmail.com)


The Pan African Medical Journal (ISSN: 1937-8688) is a subsidiary of the Pan African Medical Journal. The contents of this journal is intended exclusively for professionals in the medical, paramedical and public health and other health sectors.

Currently tracked by: DOAJ, AIM, Google Scholar, AJOL, EBSCO, Scopus, Embase, IC, HINARI, Global Health, PubMed Central, PubMed/Medline, ESCI

Physical address: "Kenya: 3rd Floor, Park Suite Building, Parkland Road, Nairobi. PoBox 38583-00100, tel: +254 (0)20-520-4356 | Cameroon: Immeuble TechnoPark Essos, Yaounde, PoBox: 10020 Yaounde, tel: +237 (0)24-309-5880"