La rétinopathie d’irradiation

Fadoua Zahir, Hicham Tahri

PAMJ. 2015; 22:54. Published 18 Sep 2015 | doi:10.11604/pamj.2015.22.54.6395

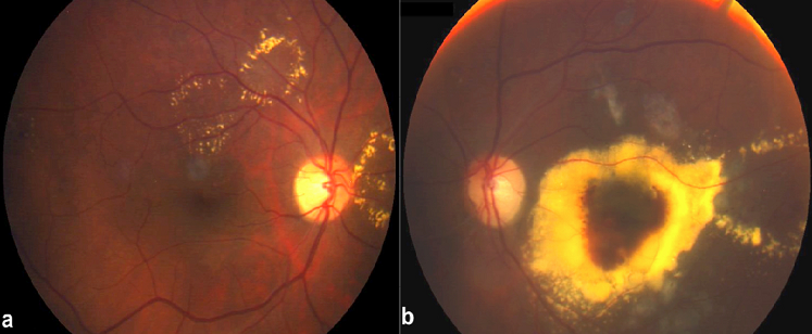
La rétinopathie d'irradiation est une pathologie vasculaire rétinienne iatrogène, chronique et progressive, secondaire à une radiothérapie de tumeurs intraoculaires ou de tumeurs malignes avoisinantes. Il s'agit d'une microangiopathie rétinienne occlusive retardée et progressive qui regroupe la rétinopathie (ischémique ou proliférante) et la maculopathie (ischémique ou œdémateuse). Une neuropathie seule ou associée à la rétinopathie peut compliquer une exposition à des irradiations. Nous rapportons le cas d'un patient de 45 ans traité par radiothérapie externe pour une tumeur du cavum il y a 4 ans et qui présente actuellement une maculopathie d'irradiation œdémateuse. Les phénomènes exsudatifs secondaires à des vasculopathies sont à l'origine d'œdèmes et d'exsudats, préférentiellement au niveau de la macula. Actuellement, il n'existe aucun traitement établi pour la rétinopathie ou la maculopathie d'irradiation. Le développement de stratégie de prévention reste primordial pour éviter une potentielle cécité.
Corresponding author
Fadoua Zahir, Service d’Ophtalmologie, CHU Hassan II, Fès, Maroc (fadouazahir@hotmail.fr)


The Pan African Medical Journal (ISSN: 1937-8688) is a subsidiary of the Pan African Medical Journal. The contents of this journal is intended exclusively for professionals in the medical, paramedical and public health and other health sectors.

Currently tracked by: DOAJ, AIM, Google Scholar, AJOL, EBSCO, Scopus, Embase, IC, HINARI, Global Health, PubMed Central, PubMed/Medline, ESCI

Physical address: "Kenya: 3rd Floor, Park Suite Building, Parkland Road, Nairobi. PoBox 38583-00100, tel: +254 (0)20-520-4356 | Cameroon: Immeuble TechnoPark Essos, Yaounde, PoBox: 10020 Yaounde, tel: +237 (0)24-309-5880"