Occlusion de l’artère de Percheron révélant un lupus érythémateux systémique

Madiha Mahfoudhi, Sami Turki

PAMJ. 2015; 22:30. Published 14 Sep 2015 | doi:10.11604/pamj.2015.22.30.7760

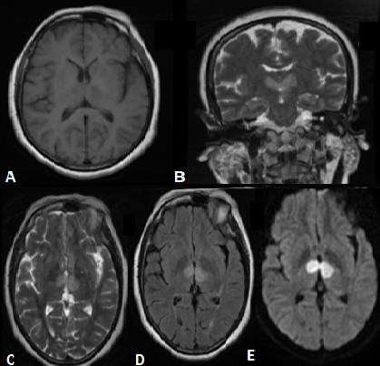
L'infarctus bithalamique par occlusion de l'artère de Percheron est rare et caractérisé par un retard diagnostique. L'IRM cérébrale et un bilan étiologique bien mené permettent de poser le diagnostic et d'adapter le traitement. Cette complication est exceptionnelle au cours du lupus érythémateux systémique. Patiente âgée de 35 ans hospitalisée pour une perte de connaissance d'installation brutale. L'examen physique a objectivé un érythème en vespertilio du visage, une matité de la base pulmonaire droite, un score de Glasgow à 5 et une hémiparésie droite. Les causes toxicologiques, septiques et métaboliques étaient éliminées. L'électrocardiogramme et l'échographie cardiaque était normaux. La TDM cérébrale initiale était sans anomalie. L'IRM cérébrale a montré des anomalies de signal des deux noyaux thalamiques en hyposignal T1, hypersignal T2 et T2 FLAIR avec restriction de la diffusion en rapport avec un accident vasculaire cérébral ischémique récent bithalamique par occlusion de l'artère de Percheron . Le diagnostic de lupus érythémateux systémique associé à un syndrome des antiphospholipides était retenu devant l'association d'un érythème en vespertilio, une pleurésie, une anémie hémolytique auto-immune avec hémoglobine à 9 g/dl, et un bilan immunologique positif avec présence d'anticorps anti-nucléaires et anticorps anti-DNA à un taux élevé, ainsi que des anticardiolipines fortement positifs à 12 semaines d'intervalle. Le traitement s'est basé sur une corticothérapie à forte dose avec dégression progressive des doses et un traitement anticoagulant. L'évolution était marquée par la disparition des signes cliniques et biologiques.
Corresponding author
Madiha Mahfoudhi, Service de Médecine Interne A, Hôpital Charles Nicolle, Tunis, Tunisie (madiha_mahfoudhi@yahoo.fr)


The Pan African Medical Journal (ISSN: 1937-8688) is a subsidiary of the Pan African Medical Journal. The contents of this journal is intended exclusively for professionals in the medical, paramedical and public health and other health sectors.

Currently tracked by: DOAJ, AIM, Google Scholar, AJOL, EBSCO, Scopus, Embase, IC, HINARI, Global Health, PubMed Central, PubMed/Medline, ESCI

Physical address: "Kenya: 3rd Floor, Park Suite Building, Parkland Road, Nairobi. PoBox 38583-00100, tel: +254 (0)20-520-4356 | Cameroon: Immeuble TechnoPark Essos, Yaounde, PoBox: 10020 Yaounde, tel: +237 (0)24-309-5880"