Acalculous cholecystitis in patient with hepatic hypogenesis and chilaiditi sign

Adriá Rosat, Daniel Eiroa

PAMJ. 2015; 21:297. Published 24 Aug 2015 | doi:10.11604/pamj.2015.21.297.7675

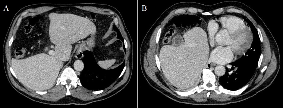
A 66-year-old male patient was admitted in our outside hospital’s emergency room after 4 days of epigastric pain, nausea and vomiting. No fever, dysthermia or respiratory symptoms were related. The pain irradiated to right hypochondria and even to right chest. Laboratory tests showed slight elevation of liver enzymes and leukocytosis. Abdominal CT revealed hepatodiaphragmatic colonic interposition, segmental agenesis of the right hepatic lobe (A) and a gallbladder with thickened walls and inflammatory changes without any stone (B). The patient did well with antibiotic treatment and was discharged home. Hepatodiaphragmatic interposition of the intestine, known as Chilaiditi sign or syndrome, was first described by Demetrius Chilaiditi in 1910, with an incidence of 0.025-0.28%. Predisposing factors include absence of the normal suspensory ligaments of the transverse colon, redundant colon, right hemidiaphragm elevation, atrophy or hypogenesis of the right hepatic lobe, etc. Agenesis or hypogenesis of the right liver lobe is an extremely rare congenital anomaly and one of the rare causes of Chilaiditi sign or syndrome. It is considered to be caused by a failure of the right portal vein to develop, or an error of mutual induction between the primitive diaphragm and the endodermal diverticulum representing the primitive liver. The differential diagnoses of Chilaiditi syndrome include pneumoperitoneum, diaphragmatic hernia, subdiaphragmatic abscess, bowel obstruction and volvulus. No chirurgic intervention is required for a patient with Chilaiditi sign, they respond to medical management, and surgery is reserved for those who do not respond to usual conservative line of management.
Corresponding author
Adriá Rosat, Department of General Surgery, Hospital Universitario Nuestra Señora de Candelaria, Tenerife, Spain (roroadri@hotmail.com)


The Pan African Medical Journal (ISSN: 1937-8688) is a subsidiary of the Pan African Medical Journal. The contents of this journal is intended exclusively for professionals in the medical, paramedical and public health and other health sectors.

Currently tracked by: DOAJ, AIM, Google Scholar, AJOL, EBSCO, Scopus, Embase, IC, HINARI, Global Health, PubMed Central, PubMed/Medline, ESCI

Physical address: "Kenya: 3rd Floor, Park Suite Building, Parkland Road, Nairobi. PoBox 38583-00100, tel: +254 (0)20-520-4356 | Cameroon: Immeuble TechnoPark Essos, Yaounde, PoBox: 10020 Yaounde, tel: +237 (0)24-309-5880"